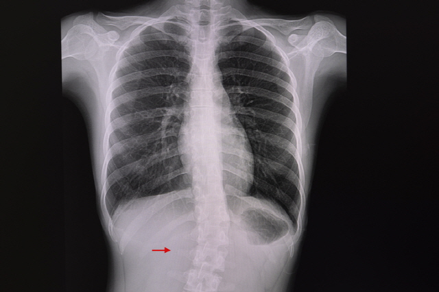
◇휜 각도 80도 이상이면 폐 기능 감소할 수도
일반적으로 휜 척추가 직접 폐를 압박하는 경우는 없다. 다만, 정확히 말하면 만곡이 심해질수록 호흡 운동에 영향을 줘 폐 기능이 떨어질 수는 있다. 서울부민병원 척추변형센터 김용정 진료원장은 “몸의 한가운데에 있어야 할 척추가 옆으로 빠져 뒤틀리면, 호흡 운동에 중요한 역할을 하는 갈비뼈의 양쪽 대칭도 맞지 않게 된다”며 “그럼 갈비뼈 운동이 원활하게 일어나지 않아 폐 기능이 약간 감소할 수 있다”고 말했다. 그는 이어 “수많은 환자를 대상으로 연구한 결과, 휜 각도가 50~70도 정도일 때는 심각한 폐 기능 제한은 없고, 80도 이상일 때 나타나는 경우가 많다”고 말했다. 특히 100도가 넘어갈 정도로 심해지면 측만증뿐만 아니라 후만증까지 같이 오게 되는데, 이땐 폐의 용적이 줄어들어 폐 기능이 더 많이 감소할 가능성이 있다.
한편, 휜 척추가 심장을 압박한다는 것에 대해선 크게 걱정하지 않아도 된다. 김용정 진료원장은 “척추측만증 환자 2천 건 이상의 사례를 관찰한 결과, 심장을 압박하는 경우는 그 중 한 사례도 못 봤다”고 말했다. 만곡이 심하더라도 생명에 지장을 주지 않고, 일상생활에 크게 불편함은 없다.
◇얼굴 비대칭, 척추가 가장 크게 휜 위치에 따라 나타날 수 있어
척추측만증이 있으면 보통 양쪽의 어깨와 골반의 높이, 유방의 크기, 다리 길이 등이 달라지는 증상이 나타난다. 얼굴은 어떨까? 결론부터 말하자면 얼굴의 비대칭은 척추 중 제일 크게 휜 부분(주만곡)이 흉추, 흉요추부 등 어디에 있느냐에 따라 달라진다. 김용정 진료원장은 “척추측만증은 6개 타입으로 나뉜다”며 “예를 들어 목에 가까운 척추가 휜 타입인 경우 목도 휠 수 있고, 얼굴도 같이 휠 가능성이 있다”고 말했다. 즉, 얼굴에 가까운 척추 부분에 큰 커브가 있을수록 얼굴도 같이 돌아가 비대칭이 될 수 있는 것이다. 하지만 일반적으로 척추측만증으로 인한 얼굴 비대칭은 심하지는 않으므로 걱정하지 않아도 된다.
◇관절염 생기지 않도록 꾸준히 스트레칭 해줘야
보통 척추측만증은 10대에 생기므로 통증이 없고 운동 능력도 떨어지지 않으며 일상생활에 큰 불편함을 유발하지는 않는다. 다만, 나이가 들면서 척추에 퇴행성관절염이 오면 문제가 될 수 있다. 척추 관절이 한쪽으로 구부러지게 되면 한쪽 뼈는 넓어지고 다른 한쪽은 줄어들게 돼 관절염을 유발할 수 있기 때문이다. 김용정 진료원장은 “관절염 예방을 위해서는 매일 스트레칭을 해주는 것이 도움이 된다“고 조언했다. 수술이 필요한 경우는 드물지만 ▲척추측만증으로 인한 통증이 심하거나 ▲외모 스트레스나 우울증이 심하거나 ▲측만증 진행이 계속되는 경우 등일 때 전문의와 상담 후 보조기 착용이나 수술적 치료를 고려해볼 수 있다.
한편, 건강보험심사평가원 자료에 따르면 지난 2021년 척추측만증 환자의 무려 51.5%는 10대 청소년이다. 성장기 때 생기는 척추측만증의 원인은 뼈가 급격히 자라는 속도와 근육이 자라는 속도가 일치하지 않기 때문이라고 알려졌다. 이를 예방하려면 청소년기에 야외 활동을 많이 하는 게 도움이 될 수 있다. 그래야 뼈와 근육이 자라는 속도의 균형이 맞는다.
일반적으로 휜 척추가 직접 폐를 압박하는 경우는 없다. 다만, 정확히 말하면 만곡이 심해질수록 호흡 운동에 영향을 줘 폐 기능이 떨어질 수는 있다. 서울부민병원 척추변형센터 김용정 진료원장은 “몸의 한가운데에 있어야 할 척추가 옆으로 빠져 뒤틀리면, 호흡 운동에 중요한 역할을 하는 갈비뼈의 양쪽 대칭도 맞지 않게 된다”며 “그럼 갈비뼈 운동이 원활하게 일어나지 않아 폐 기능이 약간 감소할 수 있다”고 말했다. 그는 이어 “수많은 환자를 대상으로 연구한 결과, 휜 각도가 50~70도 정도일 때는 심각한 폐 기능 제한은 없고, 80도 이상일 때 나타나는 경우가 많다”고 말했다. 특히 100도가 넘어갈 정도로 심해지면 측만증뿐만 아니라 후만증까지 같이 오게 되는데, 이땐 폐의 용적이 줄어들어 폐 기능이 더 많이 감소할 가능성이 있다.
한편, 휜 척추가 심장을 압박한다는 것에 대해선 크게 걱정하지 않아도 된다. 김용정 진료원장은 “척추측만증 환자 2천 건 이상의 사례를 관찰한 결과, 심장을 압박하는 경우는 그 중 한 사례도 못 봤다”고 말했다. 만곡이 심하더라도 생명에 지장을 주지 않고, 일상생활에 크게 불편함은 없다.
◇얼굴 비대칭, 척추가 가장 크게 휜 위치에 따라 나타날 수 있어
척추측만증이 있으면 보통 양쪽의 어깨와 골반의 높이, 유방의 크기, 다리 길이 등이 달라지는 증상이 나타난다. 얼굴은 어떨까? 결론부터 말하자면 얼굴의 비대칭은 척추 중 제일 크게 휜 부분(주만곡)이 흉추, 흉요추부 등 어디에 있느냐에 따라 달라진다. 김용정 진료원장은 “척추측만증은 6개 타입으로 나뉜다”며 “예를 들어 목에 가까운 척추가 휜 타입인 경우 목도 휠 수 있고, 얼굴도 같이 휠 가능성이 있다”고 말했다. 즉, 얼굴에 가까운 척추 부분에 큰 커브가 있을수록 얼굴도 같이 돌아가 비대칭이 될 수 있는 것이다. 하지만 일반적으로 척추측만증으로 인한 얼굴 비대칭은 심하지는 않으므로 걱정하지 않아도 된다.
◇관절염 생기지 않도록 꾸준히 스트레칭 해줘야
보통 척추측만증은 10대에 생기므로 통증이 없고 운동 능력도 떨어지지 않으며 일상생활에 큰 불편함을 유발하지는 않는다. 다만, 나이가 들면서 척추에 퇴행성관절염이 오면 문제가 될 수 있다. 척추 관절이 한쪽으로 구부러지게 되면 한쪽 뼈는 넓어지고 다른 한쪽은 줄어들게 돼 관절염을 유발할 수 있기 때문이다. 김용정 진료원장은 “관절염 예방을 위해서는 매일 스트레칭을 해주는 것이 도움이 된다“고 조언했다. 수술이 필요한 경우는 드물지만 ▲척추측만증으로 인한 통증이 심하거나 ▲외모 스트레스나 우울증이 심하거나 ▲측만증 진행이 계속되는 경우 등일 때 전문의와 상담 후 보조기 착용이나 수술적 치료를 고려해볼 수 있다.
한편, 건강보험심사평가원 자료에 따르면 지난 2021년 척추측만증 환자의 무려 51.5%는 10대 청소년이다. 성장기 때 생기는 척추측만증의 원인은 뼈가 급격히 자라는 속도와 근육이 자라는 속도가 일치하지 않기 때문이라고 알려졌다. 이를 예방하려면 청소년기에 야외 활동을 많이 하는 게 도움이 될 수 있다. 그래야 뼈와 근육이 자라는 속도의 균형이 맞는다.