이미지
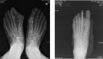
무지외반증 치료 전후 사진
여성이라면 누구나 ‘킬힐’을 신고 ‘섹스 앤 더 시티’의 사라 제시카 파커처럼 곧게 뻗은 다리를 뽐내며 거리를 활보하고 싶은 충동을 가지고 있을 것이다. 그러나 그 뒤에는 관절과 척추에 치명적인 변형을 유발할 수 있는 유혹이 도사리고 있다는 것을 아는 사람은 많지 않다.

일명, 버선발 기형이라 불리는 무지외반증

3인치 이상의 구두를 신게 되면 체중의 대부분이 발의 전족부에 실리게 되면서 특히 엄지발가락 관절의 관절막의 변형을 유발한다. 엄지발가락 관절은 사면을 둘러싸는 근육들에 의해 균형을 유지하게 되는데 관절막의 변형은 이 균형을 잃게 하여 순식간에 균형을 잃은 근육들이 변형을 가속시킨다. 일명 ‘버선발 기형’이라 불리는 무지외반증은 엄지발가락이 새끼발가락 쪽으로 기울어져 있는 발모양을 가리킨다.

체혈검사로 무지외반증 확인 가능

무지외반증은 선천적인 요인, 즉 부모나 형제 중에 이 증상이 있는 경우에 발생할 수 있으며 특히 모계의 유전을 따르는 경향이 있다. 그러나 무지외반증의 주된 원인은 후천적인 요인 즉, 하이힐이나 앞이 뾰족한 신발들을 즐겨 신으면서 발생한다.

평상시에 볼이 좁고 굽이 높은 신발을 즐겨 신는다면 발의 혈액 순환이 감소되고, 발의 내재근육을 변성시켜 무지외반증 뿐 아니라 심하면 망치족이나 갈퀴족처럼 다른 발가락들도 굽어지는 변형을 일으킬 수 있다.

권덕주 안양샘병원 정형외과 과장은 “2시간 이상 ‘킬힐’을 신고 일을 한 여성들을 대상으로 체열 검사를 실시해 전․후를 비교해 보면 혈액 순환이 심각하게 감소하는 것을 확인할 수 있다”고 말했다.

무지외반증 어떻게 치료하나

증상이 경미할 경우에는 볼이 넓고 편안한 신발을 착용하여 통증을 줄일 수 있으나, 신발을 신기 어려울 정도로 변형이 심하게 일어났다면 수술로 교정하는 방법이 있다.

무지외반증은 튀어나온 뼈 때문에 외관상 좋지 못할 뿐 아니라 걸을 때마다 극심한 통증을 느낄 수 있다. 이 상태로 계속 방치하게 되면 관절의 탈구를 초래하여 발가락에 관절염이 생길 수 있다. 또한 걸음걸이의 불균형으로 인해 허리 통증과 거북 등과 같은 변형이 차례로 유발될 수 있다.

과거에는 튀어나온 뼈만 깎는 수술을 시행하여 재발이 많았지만 최근에는 수술기법이 발달하면서 뼈를 깎는 수술 이외에 뼈의 정렬을 바로 잡아주는 작업(절골술, 골유합 등)을 같이 시행해서 재발률이 현격히 낮아졌다. 수술은 입원 없이 발만 마취하여 시행할 수 있으며 수술 후 3일 정도면 보호 신발을 신고 일상생활로 복귀할 수 있다.

무지외반증은 무엇보다 예방이 중요!

변형이 일어나서 뒤늦게 수술을 시행하기보다 증상을 예방하는 것이 중요하다.
권덕주 과장은 “예방을 위해서는 2-2-2 요법을 추천한다”고 말했다.  2-2-2 요법은 ▲평상시에는 2인치 이상의 구두는 피해서 신는 것이 좋다. ▲그러나 부득이하게 꼭 신어야 하는 상황이라면 2시간 이상은 넘기지 않도록 한다. ▲또한 이틀 연속으로 신는 것은 피하는 것이 좋다.

또한 구두를 착용한 상태에서 앉은 자세에서 발을 위, 아래로 잡아당겨 스트레칭을 해주고 자기 전에 따뜻한 물에 족욕을 해주면 혈액 순환 개선과 근육의 피로를 덜어줄 수 있다. 그리고 발에 변형이 발견되는 즉시, 가까운 족부 전문의를 찾아 적절한 치료법을 받고 지속적으로 관리하는 것이 중요하다.




이현주 헬스조선 기자