‘헬스조선 명의 톡톡’ 인터뷰
‘두개저종양 명의’ 삼성서울병원 신경외과 설호준 교수
-전체 뇌종양에서 두개저종양이 차지하는 비중이 얼마나 되나?
“삼성서울병원으로 한정하면 1년에 진행하는 뇌종양 개두술 약 1000건 중 두개저종양이 10~20%다. 가장 많이 발견되는 두개저종양은 뇌수막종이고, 그 다음이 신경막에서 근원하는 신경초종이다. 두개저(뼈)에 생기는 척삭종, 연골육종도 있고, 다른 장기의 암이 두개저 뼈에 전이된 경우도 있다. 아주 드물게 악성 신경교종이 두개저 근처에 발생하기도 한다.”
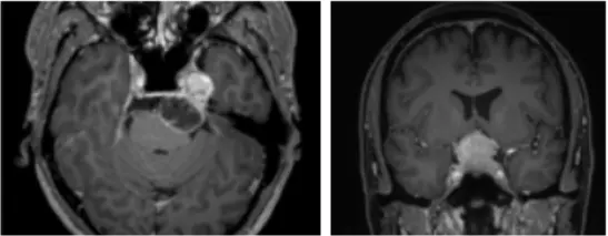
-일반 뇌 CT·MRI 검사를 통해 확인 가능한가?
“두개저를 자세히 볼 수 있는 CT검사가 필요하다. 종양이 침범한 위치를 파악하기 위해 MRI 검사도 실시한다. 종양이 시신경이나 청신경을 압박하고 있으면 시각 검사, 청각 검사와 같은 기능 검사를 하고, 양성·악성 여부 판별을 위한 PET 검사 또한 진행할 수 있다. 두개저종양 수술은 두개저를 통해 뇌로 향하는 주요 혈관들을 손상시키지 않는 것이 중요하기 때문에 두개저종양이 발견되면 우선 뇌혈관 조영술을 통해 혈관들을 확인한다.”
-뇌 깊숙한 곳에 발생해 치명률이 높을 것 같은데?
“수술로 완전 제거가 어려운 종양들이 있다. 대표적인 게 척삭종이다. 제거 수술 후 조금이라도 종양이 남아 있으면 계속 재발한다. 이로 인해 5년 생존율이 30~40%에 불과하다. 악성 신경교종, 교모세포종의 경우 원래도 평균 생존률이 2년 미만인데, 두개저 근처에 생기면 완전 제거가 어려워 예후가 좋지 않다. 이외에도 종양 위치나 상태 때문에 수술 중 위험한 상황이 생길 수 있다. 종양이 혈관을 많이 감싸고 있는 경우, 두개저 가운데에 있는 숨골을 크게 침범한 경우, 종양 유착이 심하고 단단한 경우 등이다. 수술 전 CT, MRI 검사 등을 통한 확인 작업이 중요한 것도 이 때문이다. 제대로 계획을 안 세우고 수술에 들어가면 수술 중 예기치 않게 혈관이 터지는 등 위험한 상황이 발생할 수 있다.”
-수술 전에 시뮬레이션해볼 수는 없나?
“MRI로 뼈, 혈관 등을 정밀하게 촬영해서 3D로 재구성한 후 수술 전에 시연해볼 수 있다. 수술 경험이 많지 않은 젊은 의료진이 많이 활용하고 있다. 아직 발전 단계지만 VR 기술을 활용해 가상으로 직접 수술해볼 수도 있다. 다만, 수술을 준비하는 과정에서 참고하기 위해 해볼 뿐, 가상 수술에 의존하진 않는다. 실제 수술 상황에서는 변수가 많기 때문이다. 일단 두개골을 열면 뇌 변형이 일어나고, 종양을 제거하는 과정에서 혈관 위치도 바뀐다. 때문에 수술자의 경험이 중요하다. 개인적으론 수술 전에 환자의 두개저 구조를 거의 외울 정도로 CT·MRI 검사 결과를 굉장히 많이 확인한다. 종양에 어떻게 접근해 어떤 식으로 제거하며, 제거 후 주변 신경과 혈관들이 어떤 모습일지 등을 머릿속에 그려둔 상태에서 수술에 들어간다.”
-수술이 아예 불가능한 경우도 있는지?
“이 세상에 수술 불가란 없다. 수술을 해도 이득이 없다고 판단해서 안 할 뿐이지, 수술 자체가 불가능한 경우는 없다는 뜻이다. 수술이 필요할 때는 안전한 범위 안에서 부분적으로라도 종양을 최대한 제거한다. 종양이 남았어도 양성종양은 추가 수술 없이 경과를 관찰하기도 한다. 악성 종양의 경우엔 감마나이프와 같은 부가적인 치료법을 병합해볼 수 있다.”
-수술 시 두개저에는 어떻게 접근하나?
“두개저는 크게 전(前)두개와, 중(中)두개와, 후(後)두개와로 나뉜다. 전두개와에 종양이 생긴 경우엔 머리를 열고 뇌를 당겨서 들어간다. 종양이 작고 가운데에 위치했으면 코로 수술 기구를 넣어 두개저 바닥을 뚫고 종양에 접근한다. 이 과정에서 이비인후과 의료진과 협업하기도 한다. 중두개와 종양의 경우 신경이 나가는 구멍들이 많기 때문에 신경을 손상 시키지 않는 범위 안에서 뇌를 살짝 들고 종양을 제거한다. 후두개와는 수술이 가장 어려운 곳이다. 양쪽에 ‘피라미드’라고 부르는 암석 같은 뼈가 있어, 접근이 쉽지 않다. 뼈 안에 주요 신경들이 지나가는 구조물들이 숨어있기 때문에 그 부분을 손상시키지 않으면서 뼈를 제거한 후 종양에 접근해야 한다.”
-수술 시간이 길 것 같은데?
“수술 시간은 그때그때 다르다. 아침부터 새벽까지 16시간 동안 수술한 적도 있었다. 다만, 보통은 신경외과 단독으로 진행하면 6~7시간 소요된다. 종양의 위치와 접근 방법, 방향에 따라서는 이비인후과, 성형외과 의료진 협업이 필요한데, 이 경우엔 수술 시간이 더 늘어난다. 24시간 동안 수술한 의료진도 있다고 들었다.”
-수술 후유증이 생길 수도 있는지?
“일시적인 후유증과 영구적인 후유증이 있다. 일시적인 후유증은 꽤 흔하다. 예를 들어 안면신경에 종양이 붙어있으면 아무리 잘 제거해도 신경이 부을 수 있다. 이 경우 수술 후 일시적으로 안면마비가 발생하기도 한다. 때문에 수술 전 환자에게 일시적인 후유증이 올 수 있다는 사실과 그럼에도 종양을 제거했을 때 얻을 수 있는 이점에 대해 자세히 설명한다. 이 과정이 매우 중요하다. 환자에게 후유증에 대해 충분히 안내하고, 수술 시에는 영구적인 합병증을 피하면서 종양을 최대한 제거한다.”
-두개저종양 수술도 내시경의 활용도가 높아지고 있나?
“내시경은 좁은 통로를 통해 들어가 넓은 시야를 확보한다는 장점이 있다. 문제는 종양을 보는 것을 넘어 제거하는 과정이 필요한데, 아직까지는 이 작업이 제한되는 측면이 있다. 좁은 공간에서 칼을 비롯한 각종 수술 기구들을 사용하는 것이 쉽지 않기 때문이다. 그럼에도 과거에 비해서는 기술이 발전하면서 두개저종양도 내시경을 활용할 수 있는 영역이 점점 확대되고 있다. 앞으로 더 발전할 것으로 본다.”
-바야흐로 ‘로봇 수술의 시대’ 아닌가?
“두개저종양 분야에서 로봇 수술은 아직 초기 시험 단계다. 아주 간단한 수술에 제한적으로 사용하기도 하지만, 거의 쓰지 않는다. 변수가 너무 많기 때문이다. 예를 들어 같은 수막종이라고 해도, 수술해보면 어떤 수막종은 시신경에 붙어있고, 어떤 수막종은 혈관을 감싸고 있다. 종양이 예상보다 단단한 경우도 있다. 사람의 손으로 수술하면 그때그때 대응이 가능한데, 로봇 팔을 이용할 때는 이런 부분까지 대응하긴 어렵다. 두개저종양 로봇 수술 상용화까지 아직 시간이 필요하지만, 세밀함이 개선되고 데이터가 쌓이면 이 같은 한계를 극복할 것이라고 생각한다.”
“삼성서울병원으로 한정하면 1년에 진행하는 뇌종양 개두술 약 1000건 중 두개저종양이 10~20%다. 가장 많이 발견되는 두개저종양은 뇌수막종이고, 그 다음이 신경막에서 근원하는 신경초종이다. 두개저(뼈)에 생기는 척삭종, 연골육종도 있고, 다른 장기의 암이 두개저 뼈에 전이된 경우도 있다. 아주 드물게 악성 신경교종이 두개저 근처에 발생하기도 한다.”
-일반 뇌 CT·MRI 검사를 통해 확인 가능한가?
“두개저를 자세히 볼 수 있는 CT검사가 필요하다. 종양이 침범한 위치를 파악하기 위해 MRI 검사도 실시한다. 종양이 시신경이나 청신경을 압박하고 있으면 시각 검사, 청각 검사와 같은 기능 검사를 하고, 양성·악성 여부 판별을 위한 PET 검사 또한 진행할 수 있다. 두개저종양 수술은 두개저를 통해 뇌로 향하는 주요 혈관들을 손상시키지 않는 것이 중요하기 때문에 두개저종양이 발견되면 우선 뇌혈관 조영술을 통해 혈관들을 확인한다.”
-뇌 깊숙한 곳에 발생해 치명률이 높을 것 같은데?
“수술로 완전 제거가 어려운 종양들이 있다. 대표적인 게 척삭종이다. 제거 수술 후 조금이라도 종양이 남아 있으면 계속 재발한다. 이로 인해 5년 생존율이 30~40%에 불과하다. 악성 신경교종, 교모세포종의 경우 원래도 평균 생존률이 2년 미만인데, 두개저 근처에 생기면 완전 제거가 어려워 예후가 좋지 않다. 이외에도 종양 위치나 상태 때문에 수술 중 위험한 상황이 생길 수 있다. 종양이 혈관을 많이 감싸고 있는 경우, 두개저 가운데에 있는 숨골을 크게 침범한 경우, 종양 유착이 심하고 단단한 경우 등이다. 수술 전 CT, MRI 검사 등을 통한 확인 작업이 중요한 것도 이 때문이다. 제대로 계획을 안 세우고 수술에 들어가면 수술 중 예기치 않게 혈관이 터지는 등 위험한 상황이 발생할 수 있다.”
-수술 전에 시뮬레이션해볼 수는 없나?
“MRI로 뼈, 혈관 등을 정밀하게 촬영해서 3D로 재구성한 후 수술 전에 시연해볼 수 있다. 수술 경험이 많지 않은 젊은 의료진이 많이 활용하고 있다. 아직 발전 단계지만 VR 기술을 활용해 가상으로 직접 수술해볼 수도 있다. 다만, 수술을 준비하는 과정에서 참고하기 위해 해볼 뿐, 가상 수술에 의존하진 않는다. 실제 수술 상황에서는 변수가 많기 때문이다. 일단 두개골을 열면 뇌 변형이 일어나고, 종양을 제거하는 과정에서 혈관 위치도 바뀐다. 때문에 수술자의 경험이 중요하다. 개인적으론 수술 전에 환자의 두개저 구조를 거의 외울 정도로 CT·MRI 검사 결과를 굉장히 많이 확인한다. 종양에 어떻게 접근해 어떤 식으로 제거하며, 제거 후 주변 신경과 혈관들이 어떤 모습일지 등을 머릿속에 그려둔 상태에서 수술에 들어간다.”
-수술이 아예 불가능한 경우도 있는지?
“이 세상에 수술 불가란 없다. 수술을 해도 이득이 없다고 판단해서 안 할 뿐이지, 수술 자체가 불가능한 경우는 없다는 뜻이다. 수술이 필요할 때는 안전한 범위 안에서 부분적으로라도 종양을 최대한 제거한다. 종양이 남았어도 양성종양은 추가 수술 없이 경과를 관찰하기도 한다. 악성 종양의 경우엔 감마나이프와 같은 부가적인 치료법을 병합해볼 수 있다.”
-수술 시 두개저에는 어떻게 접근하나?
“두개저는 크게 전(前)두개와, 중(中)두개와, 후(後)두개와로 나뉜다. 전두개와에 종양이 생긴 경우엔 머리를 열고 뇌를 당겨서 들어간다. 종양이 작고 가운데에 위치했으면 코로 수술 기구를 넣어 두개저 바닥을 뚫고 종양에 접근한다. 이 과정에서 이비인후과 의료진과 협업하기도 한다. 중두개와 종양의 경우 신경이 나가는 구멍들이 많기 때문에 신경을 손상 시키지 않는 범위 안에서 뇌를 살짝 들고 종양을 제거한다. 후두개와는 수술이 가장 어려운 곳이다. 양쪽에 ‘피라미드’라고 부르는 암석 같은 뼈가 있어, 접근이 쉽지 않다. 뼈 안에 주요 신경들이 지나가는 구조물들이 숨어있기 때문에 그 부분을 손상시키지 않으면서 뼈를 제거한 후 종양에 접근해야 한다.”
-수술 시간이 길 것 같은데?
“수술 시간은 그때그때 다르다. 아침부터 새벽까지 16시간 동안 수술한 적도 있었다. 다만, 보통은 신경외과 단독으로 진행하면 6~7시간 소요된다. 종양의 위치와 접근 방법, 방향에 따라서는 이비인후과, 성형외과 의료진 협업이 필요한데, 이 경우엔 수술 시간이 더 늘어난다. 24시간 동안 수술한 의료진도 있다고 들었다.”
-수술 후유증이 생길 수도 있는지?
“일시적인 후유증과 영구적인 후유증이 있다. 일시적인 후유증은 꽤 흔하다. 예를 들어 안면신경에 종양이 붙어있으면 아무리 잘 제거해도 신경이 부을 수 있다. 이 경우 수술 후 일시적으로 안면마비가 발생하기도 한다. 때문에 수술 전 환자에게 일시적인 후유증이 올 수 있다는 사실과 그럼에도 종양을 제거했을 때 얻을 수 있는 이점에 대해 자세히 설명한다. 이 과정이 매우 중요하다. 환자에게 후유증에 대해 충분히 안내하고, 수술 시에는 영구적인 합병증을 피하면서 종양을 최대한 제거한다.”
-두개저종양 수술도 내시경의 활용도가 높아지고 있나?
“내시경은 좁은 통로를 통해 들어가 넓은 시야를 확보한다는 장점이 있다. 문제는 종양을 보는 것을 넘어 제거하는 과정이 필요한데, 아직까지는 이 작업이 제한되는 측면이 있다. 좁은 공간에서 칼을 비롯한 각종 수술 기구들을 사용하는 것이 쉽지 않기 때문이다. 그럼에도 과거에 비해서는 기술이 발전하면서 두개저종양도 내시경을 활용할 수 있는 영역이 점점 확대되고 있다. 앞으로 더 발전할 것으로 본다.”
-바야흐로 ‘로봇 수술의 시대’ 아닌가?
“두개저종양 분야에서 로봇 수술은 아직 초기 시험 단계다. 아주 간단한 수술에 제한적으로 사용하기도 하지만, 거의 쓰지 않는다. 변수가 너무 많기 때문이다. 예를 들어 같은 수막종이라고 해도, 수술해보면 어떤 수막종은 시신경에 붙어있고, 어떤 수막종은 혈관을 감싸고 있다. 종양이 예상보다 단단한 경우도 있다. 사람의 손으로 수술하면 그때그때 대응이 가능한데, 로봇 팔을 이용할 때는 이런 부분까지 대응하긴 어렵다. 두개저종양 로봇 수술 상용화까지 아직 시간이 필요하지만, 세밀함이 개선되고 데이터가 쌓이면 이 같은 한계를 극복할 것이라고 생각한다.”
-처음 두개저종양 수술을 배울 때 했던 노력이 있다면?
“레지던트 시절 수술에 들어가면 상당히 떨린다. 사람이라면 그럴 수밖에 없다. 특히 뇌수술은 조금만 잘못해도 위험한 상황이 발생할 수 있기 때문에 더욱 긴장하게 된다. 그때 스승에게 배운 게 힘을 빼는 기술이었다. 그래서 처음엔 떨릴수록 정신을 다잡고 어깨, 팔꿈치, 손목의 힘을 빼려고 노력했다. 그 외에 젓가락으로 콩 잡기 같은 것도 많이 하고, 혼자 이미지 트레이닝도 정말 많이 했다.”
-두개저종양 수술을 하는 의사가 많지 않은데?
“은퇴 전까지 두개저수술을 할 수 있는 새로운 의사들을 육성하고자 한다. 교육을 통해 젊은 전공의들이 두개저에 관심을 가질 수 있도록 노력하고 있다. 그 전에 처우에 대한 개선도 필요하다. 힘든데 적절한 보상이 없으면 누구도 이 분야를 선택하려 하지 않는다. 학회 차원에서도 개선 방안을 찾고 있다. 정책적인 지원도 뒷받침돼야 한다.”
설호준 교수는…
서울대 의대를 졸업하고 동대학 석·박사 학위를 취득했다. 현재 삼성서울병원 신경외과 진료과장을 맡고 있으며, 대한신경외과학회, 대한내시경뇌수술학회, 대한뇌종양학회, 대한신경방사선수술학회 등 여러 학회에서 활발히 활동 중이다. 최근에는 대한두개저학회 차기 회장으로도 선출됐다. 설 교수의 주요 진료분야는 두개저종양, 뇌종양, 뇌하수체 종양 등이다. 특히 접근이 어려운 수막종·신경초종 등 양성 두개저종양과 다양한 악성 질환의 미세수술 분야에서 전문성을 인정받고 있다. 현재 난치성 악성 뇌종양 최신 치료 기법과 환자 맞춤형 치료를 위한 기초·중개 연구에도 매진하고 있다.
“레지던트 시절 수술에 들어가면 상당히 떨린다. 사람이라면 그럴 수밖에 없다. 특히 뇌수술은 조금만 잘못해도 위험한 상황이 발생할 수 있기 때문에 더욱 긴장하게 된다. 그때 스승에게 배운 게 힘을 빼는 기술이었다. 그래서 처음엔 떨릴수록 정신을 다잡고 어깨, 팔꿈치, 손목의 힘을 빼려고 노력했다. 그 외에 젓가락으로 콩 잡기 같은 것도 많이 하고, 혼자 이미지 트레이닝도 정말 많이 했다.”
-두개저종양 수술을 하는 의사가 많지 않은데?
“은퇴 전까지 두개저수술을 할 수 있는 새로운 의사들을 육성하고자 한다. 교육을 통해 젊은 전공의들이 두개저에 관심을 가질 수 있도록 노력하고 있다. 그 전에 처우에 대한 개선도 필요하다. 힘든데 적절한 보상이 없으면 누구도 이 분야를 선택하려 하지 않는다. 학회 차원에서도 개선 방안을 찾고 있다. 정책적인 지원도 뒷받침돼야 한다.”
설호준 교수는…
서울대 의대를 졸업하고 동대학 석·박사 학위를 취득했다. 현재 삼성서울병원 신경외과 진료과장을 맡고 있으며, 대한신경외과학회, 대한내시경뇌수술학회, 대한뇌종양학회, 대한신경방사선수술학회 등 여러 학회에서 활발히 활동 중이다. 최근에는 대한두개저학회 차기 회장으로도 선출됐다. 설 교수의 주요 진료분야는 두개저종양, 뇌종양, 뇌하수체 종양 등이다. 특히 접근이 어려운 수막종·신경초종 등 양성 두개저종양과 다양한 악성 질환의 미세수술 분야에서 전문성을 인정받고 있다. 현재 난치성 악성 뇌종양 최신 치료 기법과 환자 맞춤형 치료를 위한 기초·중개 연구에도 매진하고 있다.