[해외토픽]

중국의 한 60대 여성이 덜 익은 해산물을 먹고 기생충에 감염된 사연이 공개됐다.
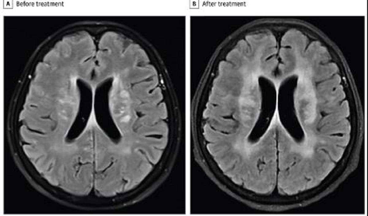
중국 광저우 의대 의료진에 따르면, 60세 여성은 발열과 함께 정신 혼란 증상을 겪었다. 증상은 3일 정도 지속됐고, 대화도 제대로 하지 못했다. 이후 이 여성은 병원을 찾았고, 의사는 CT 검사 결과 뇌수막염을 의심했다. 이후 2주간 항생제를 투여했다. 하지만, 그의 증상은 호전되지 않았다. 추가 MRI 검사에서는 뇌의 백질 병변이 더 심해진 것을 확인했고, 혈액 검사에서 호산구 수치가 비정상적으로 높은 것을 발견했다. 의사는 기생충 감염을 의심했고, 결국 여성은 호산구성 수막염(뇌와 척수를 감싸는 얇은 막인 수막에서 염증이 생기는 질환)을 진단받았다. 호산구는 백혈구의 한 종류로, 기생충 감염 시 증가하는 면역 세포다. 알고 보니 여성이 덜 익은 가재를 먹은 후 광동주혈선충이라는 기생충에 감염됐던 것이다. 여성은 즉시 벌레 감염을 치료하는 구충제인 알벤다졸을 투여 받았고, 2주 만에 다시 의사소통이 가능해졌다. 4개월 후 그는 추가 뇌 스캔 결과, 건강이 거의 다 회복한 것으로 나타났다.
중국 광저우 의대 의료진에 따르면, 60세 여성은 발열과 함께 정신 혼란 증상을 겪었다. 증상은 3일 정도 지속됐고, 대화도 제대로 하지 못했다. 이후 이 여성은 병원을 찾았고, 의사는 CT 검사 결과 뇌수막염을 의심했다. 이후 2주간 항생제를 투여했다. 하지만, 그의 증상은 호전되지 않았다. 추가 MRI 검사에서는 뇌의 백질 병변이 더 심해진 것을 확인했고, 혈액 검사에서 호산구 수치가 비정상적으로 높은 것을 발견했다. 의사는 기생충 감염을 의심했고, 결국 여성은 호산구성 수막염(뇌와 척수를 감싸는 얇은 막인 수막에서 염증이 생기는 질환)을 진단받았다. 호산구는 백혈구의 한 종류로, 기생충 감염 시 증가하는 면역 세포다. 알고 보니 여성이 덜 익은 가재를 먹은 후 광동주혈선충이라는 기생충에 감염됐던 것이다. 여성은 즉시 벌레 감염을 치료하는 구충제인 알벤다졸을 투여 받았고, 2주 만에 다시 의사소통이 가능해졌다. 4개월 후 그는 추가 뇌 스캔 결과, 건강이 거의 다 회복한 것으로 나타났다.

광동주혈선충은 뇌에 침투하는 기생충으로, 뇌의 내막에 염증을 유발하는 것으로 알려졌다. 달팽이나 민달팽이를 날것으로 혹은 덜 익힌 상태로 먹거나 민물 새우, 게, 개구리와 같은 몇몇 생물로부터 감염될 수 있다. 이 기생충에 감염되면 1~30일 정도의 잠복기를 거치고 난 후 발열, 두통, 목덜미 경직, 구토, 지각이상, 사지마비 등의 증상이 나타날 수 있다. 또한, 눈부심, 시력 감퇴 등의 안구감염 증상도 함께 나타날 수 있다.
이 사례는 ‘신경 과학 저널’에 게재됐다.
두 줄 요약!
1. 중국의 한 60대 여성이 덜 익은 가재를 먹은 후 기생충에 감염된 사연이 공개됨.
2. 그는 벌레 감염을 치료하는 구충제를 투여받고, 4개월 만에 건강을 회복함.
이 사례는 ‘신경 과학 저널’에 게재됐다.
두 줄 요약!
1. 중국의 한 60대 여성이 덜 익은 가재를 먹은 후 기생충에 감염된 사연이 공개됨.
2. 그는 벌레 감염을 치료하는 구충제를 투여받고, 4개월 만에 건강을 회복함.