이미지
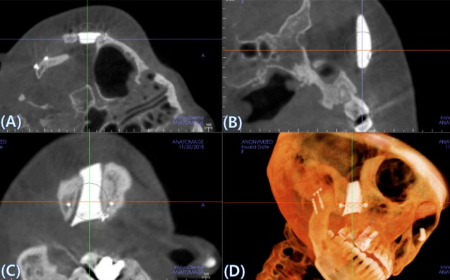
국내 의료진이 바이오세라믹을 이용한 3D프린팅 인공 광대뼈 이식의 재건 효과와 안전성을 입증했다./사진=이의룡 교수 논문 캡처

국내 의료진이 바이오세라믹을 이용한 3D프린팅 인공 광대뼈 이식의 재건 효과와 안전성을 입증한 연구 결과를 발표했다.

중앙대병원 구강악안면외과 이의룡 교수 연구팀은 광대뼈 결손으로 재건이 필요한 8명의 환자에게 '시지바이오'가 개발한 ‘이지메이드(Easy-made)’를 이식해 광대뼈를 재건했다. 이지메이드는 바이오세라믹 소재의 3D프린팅 공정 기술로 개발된 환자 맞춤형 인공 광대뼈다.

연구팀은 수술 6개월 후 CT 촬영을 통해 인공 광대뼈와 기존 뼈 사이의 골융합 및 고정상태, 만족도, 안전성 등을 평가했다. 그 결과, 인공 광대뼈의 골융합률은 100%로, 수술 직후와 비교했을 때도 뼈에 더 가깝게 부착된 것을 확인했다. 또한 수술 후 부작용도 나타나지 않았으며, 환자의 만족도 점수는 10점 만점에 9점이었다. 모든 환자는 심미적·기능적 측면에서 만족감을 나타냈다.

기존에 뼈 질환을 치료하기 위해서는 환자 자신의 뼈를 얻어 결손 부위에 이식하는 자가골 이식술이 표준 치료법으로 시행됐다. 그러나 자가골 채취는 해당 부위의 장애나 불편감, 합병증 등을 유발할 수 있다.

이런 문제를 해결하기 위해 금속 소재 보형물이 개발됐지만, 금속 소재라는 특성 때문에 CT 영상 촬영에 판독 정확도가 떨어진다는 단점이 있었다. 그러나 이번 임상에서 사용된 시지바이오의 제품은 뼈와 유사한 성분으로, 뼈와 직접 유합되는 고강도 생체활성 바이오세라믹 소재를 사용했다.

이의룡 교수는 “이번에 적용된 생체활성 바이오세라믹 소재는 영상학적 판독 정확도에 영향을 미치지 않는 소재”라며 “새로운 안면 뼈 재건 방법으로 환자 3D프린팅 바이오세라믹 소재의 안전성과 효과를 입증함으로써 광대뼈 결손에 대한 이식 재건뿐 아니라 안면기형, 두개골 결손 등 향후 다양한 이식 재건 치료에 적용될 수 있을 것으로 기대된다”고 말했다.

이번 연구는 국제학술지 ‘머티리얼즈(Materials)’에 최근 발표됐다.




전혜영 헬스조선 기자