하이힐과 플랫슈즈가 무지외반증(엄지발가락이 바깥쪽으로 휘는 병)이나 족저근막염(저근막에 염증이 생겨 걸을 때마다 뒤꿈치에 통증을 느끼는 병)을 유발한다는 것은 대부분 알고 있다. 하지만 이런 신말은 소건막류도 유발할 수 있다.




이미지
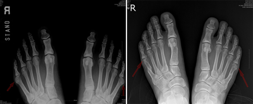
소건막류 환자의 수술 전(왼쪽), 수술 후(오른쪽) 사진(사진=연세견우정형외과 제공)

소건막류는 새끼발가락이 바깥쪽으로 튀어나오는 질병이다. 새끼발가락 뼈가 휘어서 돌출되거나 뼈 자체의 변형이 생기기도 하고, 네 번째 발가락과 새끼발가락이 벌어져서 나타나기도 한다. 선천적으로 새끼발가락에 이상이 있어서 생기는 경우도 있지만, 자신의 발 폭보다 좁은 신발을 오랫동안 신었을 때 발병한다. 앞 코가 좁은 신발은 새끼발가락에 과한 마찰과 압력을 준다. 계속해서 압력을 받으면 새끼발가락이 바깥쪽으로 튀어나오고 빨갛게 변한다.

소견막류를 예방하기 위해서는 신발을 고를 때는 앞이 뾰족한 신발보다는 발 폭 위주로 골라서 발가락과 신발의 마찰을 줄이는 것이 좋다. 소건막류가 초기 증상일 때는 큰 신발이나 깔창을 신는 치료를 하지만 효과가 없을 때는 수술치료를 해야 완치가 가능하다. 연세견우정형외과 박의현 원장은 "최근에는 돌출된 뼈를 제거하지 않고 새끼발가락을 네번째발가락과 평행하게 안으로 밀어넣는 수술로 완치가 가능하다"며 "발목마취를 하고 수술시간도 10분 정도가 소요돼 빠른 일상생활 복귀가 가능하다"고 말했다.




김련옥 헬스조선 인턴기자