보리 등 인 함유된 잡곡밥 금물… 신장서 인 배출 못해 관절통 유발
칼륨 든 토마토·배추 데쳐 먹어야… 3개월마다 신장 검사 후 식단 조절

8년째 당뇨병을 앓고 있는 김모(47·서울 서대문구)씨는 잡곡밥과 야채 위주 식단을 지키면서 혈당을 철저히 관리했다. 그런데, 어느날 갑자기 다리가 붓기 시작해 검사받았더니 신부전증 4기 진단이 나왔다. 의사는 "신장이 나빠지는 것을 모르고 잡곡밥과 야채를 계속 먹어서 신장 기능이 급속하게 나빠졌다"고 말했다.

당뇨병만 있을 때는 꼭 먹어야 하는 음식인데, 신장 합병증이 생기고 나면 먹지 말아야 하는 음식으로 바뀌는 것이 많다. 신장 합병증이 생긴 당뇨병 환자는 3개월에 한 번씩 소변 검사나 혈액 검사로 신장 상태를 확인한 뒤 적절한 식단을 짜야 한다.




이미지
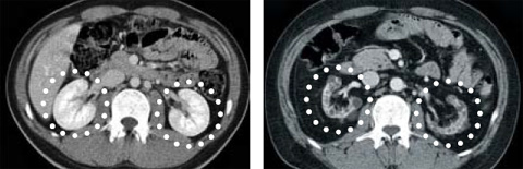
정상 신장(왼쪽)과 투석을 받고 있는 당뇨병성 만성신부전증 5기 환자의 신장 CT(컴퓨터단층촬영) 사진. 혈당 때문에 여과 기능을 거의 못하게 되면서 크기가 작아졌다. /성빈센트병원 제공

잡곡밥=잡곡밥을 먹으면 섬유소가 당분의 체내 흡수를 억제한다. 하지만, 대부분의 잡곡은 인 함유량이 많다. 신부전증 초기부터 삼간다. 신장에서 인을 배출시키지 못하면 가려움증과 관절통 등이 생기며, 뼈가 약해진다. 흰쌀밥을 먹되 양을 줄인다.

호박·토마토·감자=이런 식품에 든 칼륨은 인슐린 분비를 돕기 때문에 당뇨병 환자에게 꼭 필요하다. 만성신부전증 3기까지는 충분히 먹어도 된다. 하지만 만성신부전증 4기부터는 칼륨이 신장에서 걸러지지 못하고 혈액에 과도하게 남아서 부정맥을 일으킨다. 칼륨은 물에 녹아서 빠져나가므로, 고칼륨 식품은 찬물에 2시간 이상 담궈 놓거나 더운 물에 데쳐 먹으면 된다. 미역·고구마·배추·양배추·당근도 고칼륨 식품이다.

콩·두유·육류=단백질은 당뇨병 환자의 신체 균형을 유지하는 데 꼭 필요하다. 하지만, 단백질은 분자 크기가 커서 신장의 사구체를 크게 손상시키므로, 신장 기능이 50% 미만으로 떨어진 사람은 섭취량을 줄여야 한다. 체중 1㎏당 0.5g의 동물성 단백질이 하루 권장량이다. 일반적인 체중의 성인이라면 살코기 한 두점, 계란 반 알, 생선 한 토막 정도다. 콩 등 식물성 단백질은 몸 속에 요독을 쌓으므로 금기다. 그러나, 투석을 받는 사람은 단백질이 신장에 부담을 주지 않고 투석을 통해 피로 걸러지므로 단백질 섭취량을 2배로 늘린다.




김현정 헬스조선 기자 | 도움말=진동찬 성빈센트병원 신장내과 교수, 이은정 강북삼성병원 내분비내과 교수