구강외과 전문의가 치석을 방치하는 습관의 위험성을 강조했다.
지난 16일 유튜브 채널 ‘건나물 TV’에는 구강악안면외과 전문의 정혜인 원장이 출연했다. 정 원장은 “우리 입안에 있는 치석은 단순한 돌덩어리가 아니고, 미세한 틈과 구멍 사이에 세균이 살고 있는 ‘살아 움직이는 세균 덩어리’ 그 자체”라며 “이걸 그대로 방치한다는 건 뇌나 심장으로 이어지는 혈관에다가 염증을 일으키는 독성 물질을 계속 주입하는 것과 같다”고 했다.
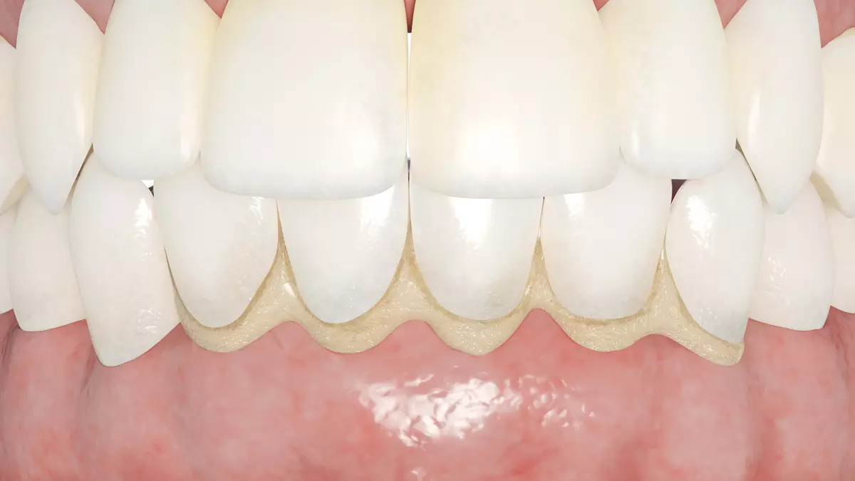
실제로 치석을 방치하면 혈관 건강이 악화할 위험이 있다. 치석은 실제로 치태가 굳어 형성된 구조물로, 구강 내에서 세균의 서식지로 작용한다. 표면에 미세한 구멍이 많은 다공성 구조라 틈 사이에 세균이 증식하기 쉽다. 문제는 치석 안에 존재하는 세균이 ‘지질다당류(LPS)’와 같은 강한 독성 물질을 만들어낸다는 점이다. 지질다당류는 치주질환을 유발하는 독소로 세균의 세포벽에 있다. 독성 물질이 잇몸에만 머무르지 않고 혈관을 타고 전신으로 퍼지면 인체의 면역 체계를 교란하고 만성 질환을 유발할 수 있다. 정 원장은 “치석 제거 치료를 받은 직후, 환자의 70% 정도에서 세균이 혈액으로 들어가는 현상이 관찰되기도 한다”며 “물론 우리 몸에는 방어 체계가 있어서 30분 정도면 대부분의 세균이 사라지지만 그 짧은 시간 동안에도 세균은 피를 타고 이동해 온몸에 영향을 미치고, 혈관 안쪽 벽에 달라붙어 기능을 떨어뜨린다”고 했다. 평소 주기적으로 스케일링을 받으면 구강 건강뿐 아니라 혈관 및 전신 건강에도 도움이 되는 이유다.
한편, 단단하게 굳은 치석은 전동칫솔이나 워터픽으로 제거하기 어려운 편이다. 오래된 치석은 강도가 4.0에 이르는데 이는 치아 뿌리 표면보다 높은 강도다. 강도 5.5 이상의 의료용 도구를 이용해 제거하는 게 좋다. 또한 치석 제거 과정에서 상대적으로 약한 치아 뿌리가 손상되기 쉬워 전문가가 힘을 조절해 치석만 제거해야 손상을 줄일 수 있다. 간혹 스케일링이나 잇몸 치료 후 이가 시리거나 흔들리는 경우가 있는데, 이는 치료 후 발생하는 증상 중 하나로 시간이 지나면 자연스럽게 사라진다.
지난 16일 유튜브 채널 ‘건나물 TV’에는 구강악안면외과 전문의 정혜인 원장이 출연했다. 정 원장은 “우리 입안에 있는 치석은 단순한 돌덩어리가 아니고, 미세한 틈과 구멍 사이에 세균이 살고 있는 ‘살아 움직이는 세균 덩어리’ 그 자체”라며 “이걸 그대로 방치한다는 건 뇌나 심장으로 이어지는 혈관에다가 염증을 일으키는 독성 물질을 계속 주입하는 것과 같다”고 했다.
실제로 치석을 방치하면 혈관 건강이 악화할 위험이 있다. 치석은 실제로 치태가 굳어 형성된 구조물로, 구강 내에서 세균의 서식지로 작용한다. 표면에 미세한 구멍이 많은 다공성 구조라 틈 사이에 세균이 증식하기 쉽다. 문제는 치석 안에 존재하는 세균이 ‘지질다당류(LPS)’와 같은 강한 독성 물질을 만들어낸다는 점이다. 지질다당류는 치주질환을 유발하는 독소로 세균의 세포벽에 있다. 독성 물질이 잇몸에만 머무르지 않고 혈관을 타고 전신으로 퍼지면 인체의 면역 체계를 교란하고 만성 질환을 유발할 수 있다. 정 원장은 “치석 제거 치료를 받은 직후, 환자의 70% 정도에서 세균이 혈액으로 들어가는 현상이 관찰되기도 한다”며 “물론 우리 몸에는 방어 체계가 있어서 30분 정도면 대부분의 세균이 사라지지만 그 짧은 시간 동안에도 세균은 피를 타고 이동해 온몸에 영향을 미치고, 혈관 안쪽 벽에 달라붙어 기능을 떨어뜨린다”고 했다. 평소 주기적으로 스케일링을 받으면 구강 건강뿐 아니라 혈관 및 전신 건강에도 도움이 되는 이유다.
한편, 단단하게 굳은 치석은 전동칫솔이나 워터픽으로 제거하기 어려운 편이다. 오래된 치석은 강도가 4.0에 이르는데 이는 치아 뿌리 표면보다 높은 강도다. 강도 5.5 이상의 의료용 도구를 이용해 제거하는 게 좋다. 또한 치석 제거 과정에서 상대적으로 약한 치아 뿌리가 손상되기 쉬워 전문가가 힘을 조절해 치석만 제거해야 손상을 줄일 수 있다. 간혹 스케일링이나 잇몸 치료 후 이가 시리거나 흔들리는 경우가 있는데, 이는 치료 후 발생하는 증상 중 하나로 시간이 지나면 자연스럽게 사라진다.