비만 많아졌고, 당류 섭취 는 것도 원인
초가공식품 줄이고 하루 한 시간 땀날 정도로 운동해야
서울에 사는 중학교 1학년 김모(13)군의 부모는 최근 학교 건강검진 결과지를 보고 깜짝 놀랐다. ‘간 기능 검사 수치 상승’으로 정밀검사를 요한다는 문구가 적혀 있었기 때문이다. 특별히 아픈 곳도 없던 아이라 대수롭지 않게 여겼지만, 병원에서 추가 검사를 받은 뒤 뜻밖의 진단을 들었다. 바로 지방간(대사이상 지방간질환)이었다. 지방간은 흔히 술을 많이 마시는 성인 질환으로 알려져 있지만, 최근에는 학교 건강검진을 계기로 소아청소년과를 찾았다가 진단받는 아이들도 적지 않다.
서울대병원 소아청소년과 심정옥 교수는 “소아 지방간이 발견되는 가장 흔한 경로가 학교 건강검진”이라며 “비만 위험군 학생에게 시행하는 간 효소(AST·ALT) 검사에서 이상이 발견돼 병원을 찾는 사례가 상당히 많다”고 말했다. 지방간은 대부분 자각 증상이 없어 검사를 통해 우연히 발견되는 경우가 많다.
서울대병원 소아청소년과 심정옥 교수는 “소아 지방간이 발견되는 가장 흔한 경로가 학교 건강검진”이라며 “비만 위험군 학생에게 시행하는 간 효소(AST·ALT) 검사에서 이상이 발견돼 병원을 찾는 사례가 상당히 많다”고 말했다. 지방간은 대부분 자각 증상이 없어 검사를 통해 우연히 발견되는 경우가 많다.
◇비만 아동 중 최대 65% 지방간 동반
소아 지방간은 비만과 밀접한 관련이 있다. 교육부 학생 건강검사 표본조사에 따르면, 최근 8년간 비만 아동 중 간 수치 이상이 발견되는 비율은 19~30% 수준이다. 특히 고도비만 아동에서는 지방간 동반 비율이 약 65%에 이르기도 한다. 남학생에서 더 흔하게 나타나며, 학년별로는 초등학교생과 고등학교에서 비교적 높은 경향을 보였다. 특히 코로나19 팬데믹이 큰 영향을 미쳤다. 심정옥 교수는 “외부 활동이 줄고 배달 음식 섭취가 늘면서 소아 비만율이 급격히 증가했다”며 “최근 다소 감소했지만, 이전 수준으로 회복되지는 못한 상황”이라고 말했다.
소아 지방간은 비만과 밀접한 관련이 있다. 교육부 학생 건강검사 표본조사에 따르면, 최근 8년간 비만 아동 중 간 수치 이상이 발견되는 비율은 19~30% 수준이다. 특히 고도비만 아동에서는 지방간 동반 비율이 약 65%에 이르기도 한다. 남학생에서 더 흔하게 나타나며, 학년별로는 초등학교생과 고등학교에서 비교적 높은 경향을 보였다. 특히 코로나19 팬데믹이 큰 영향을 미쳤다. 심정옥 교수는 “외부 활동이 줄고 배달 음식 섭취가 늘면서 소아 비만율이 급격히 증가했다”며 “최근 다소 감소했지만, 이전 수준으로 회복되지는 못한 상황”이라고 말했다.
겉으로 뚱뚱해 보이지 않는 아이도 지방간이 있을 수 있다. 체중이 많이 나가지 않지만 내장지방이 많은 ‘마른 비만’ 형태일 수 있어서다. 심 교수는 “간은 몸에 들어온 영양소를 처리하는 역할을 하는데, 섭취한 영양이 지나치게 많으면 일부가 지방 형태로 간에 저장된다”며 “당류 섭취가 많거나 신체 활동이 부족하고 근육량이 적은 경우에도 지방간이 생길 수 있다”고 말했다. 특히 과도한 당 섭취와 가공식품, 가당 음료 섭취가 주요 위험 요인으로 꼽힌다. 이런 생활 습관은 인슐린 저항성을 유발해 지방간 위험을 키운다.
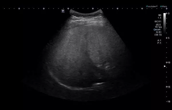
◇초음파로 확인… 진행 시 간경화 위험
소아 지방간이 의심되면 혈액 검사와 문진, 신체 진찰 후 영상 검사를 시행한다. 가장 기본은 복부 초음파 검사로, 이를 통해 간에 지방이 얼마나 축적돼 있는지 확인할 수 있다. 경우에 따라 간 섬유화(딱딱한 흉터 조직)정도를 평가하는 탄성 초음파나 MRI(자기공명영상) 검사를 추가하기도 한다. 간 조직 검사는 제한적인 경우에만 시행된다.
소아 지방간이 의심되면 혈액 검사와 문진, 신체 진찰 후 영상 검사를 시행한다. 가장 기본은 복부 초음파 검사로, 이를 통해 간에 지방이 얼마나 축적돼 있는지 확인할 수 있다. 경우에 따라 간 섬유화(딱딱한 흉터 조직)정도를 평가하는 탄성 초음파나 MRI(자기공명영상) 검사를 추가하기도 한다. 간 조직 검사는 제한적인 경우에만 시행된다.
지방간을 방치하면 간에 염증이 생기고 섬유화로 진행할 수 있다. 장기적으로는 성인기에 간경화 등 심각한 간 질환으로 이어질 위험도 있다. 따라서 성장기 특성을 고려해 아이별로 적절한 체중 관리 목표를 설정하고 조기에 관리하는 것이 중요하다.
◇치료약 없어… 생활습관 개선이 핵심
현재까지 소아 지방간을 직접 치료하는 약물은 없다. 치료의 핵심은 식습관과 생활 습관 교정이다. 병원에서는 아이의 식습관을 평가하고 영양 교육을 진행한다. 식사 일기를 작성하도록 하거나 영양사 상담을 통해 식단을 조정하기도 한다. 운동 처방이 함께 이루어지는 경우도 많다. 심 교수는 “성인에서 유행하는 케톤·황제 다이어트 등은 성장기 아이에게 적절하지 않다”며 “균형 잡힌 식사를 적정량 섭취하고 규칙적인 식습관을 유지하는 것이 중요하다”고 말했다.
가당 음료와 과자 등 초가공식품 섭취를 줄이고, 꼭 쌀밥의 형태가 아니더라도 아침 식사를 거르지 않는 습관을 들이는 게 중요하다. 신체 활동은 하루 한 시간 정도 확보하는 것이 권장된다. 특정 운동이 아니라도 아이가 좋아하고 땀이 날 정도의 활동을 꾸준히 하는 것이 중요하다.
물론 장기간의 관리 과정에서 중도에 실패하는 경우도 적지 않다. 아이들의 체중 관리가 어려운 가장 큰 이유는 동기부여가 부족하기 때문이다. 심정옥 교수는 “아픈 증상이 없기 때문에 아이가 체중 감량의 필요성을 느끼기 어렵다”며 “가정에서 부모가 함께 생활 습관을 바꾸는 것이 중요하다”고 말했다. 예를 들어 집에 과자나 간식이 쉽게 노출돼 있지 않도록 환경을 바꾸거나, 가족이 함께 운동하는 습관을 들이는 것도 도움이 된다. 심 교수는 “학교 검진에서 간 수치 이상이 발견되면 반드시 소아청소년과 진료를 통해 정확한 평가를 받아야 한다”며 “초기 단계에서 생활 습관을 교정하면 충분히 호전될 수 있다”고 말했다.
[부모들의 흔한 오해 3가지]
▶아이 살은 크면 키로 가지 않나요?
"그렇지 않다. 비만 아동은 사춘기가 또래보다 빨리 오는 경우가 많아 최종 키에 오히려 불리할 수 있다. 균형 잡힌 식사를 적정량 유지하는 것이 중요하다."
▶아이 살은 크면 키로 가지 않나요?
"그렇지 않다. 비만 아동은 사춘기가 또래보다 빨리 오는 경우가 많아 최종 키에 오히려 불리할 수 있다. 균형 잡힌 식사를 적정량 유지하는 것이 중요하다."
▶간에 좋은 음식이나 약 먹으면 되는 것 아닌가요?
"지방간 자체를 직접 개선하는 약은 아직 없다. 생활습관 개선이 최우선이다. 방치하면 간이 딱딱해지는 간 섬유화나 간경화로 진행할 수 있어, 간에 지방만 쌓인 초기 단계에서 이를 돌이킬 수 있는 관리가 중요하다. 일부 고도비만 등에서는 제한적으로 비만치료제를 고려할 수 있지만 1차 치료는 아니다."
▶1~2kg만 빼면 지방간이 좋아질까요?
"단순히 감량 수치로 판단할 수는 없다. 100kg인 아이와 30kg인 아이에서 2kg의 의미는 전혀 다르다. 아이마다 다른 체중과 성장 상태에 따라 목표는 달라진다. 경우에 따라 체중을 줄이기보다 ‘유지’만으로도 키 성장과 함께 지방간이 개선될 수 있다. 중요한 것은 단기간 감량이 아니라 지속 가능한 관리다."