[해외토픽]
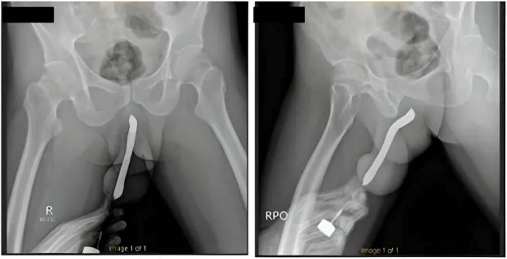
음경 확대를 위해 성기에 칫솔을 삽입한 상태로 관계를 하던 중 성기가 부러진 인도네시아 40대 남성의 사연이 공개됐다.
지난 1일 영국 매체 더 선은 성기에 칫솔을 삽입했다가 성관계 중 성기가 골절된 43세 인도네시아 남성 A씨의 사연을 소개했다. A씨는 "성관계 중 성기가 부러졌다"며 "성기를 재건하고 칫솔을 빼내기 위해 2시간 동안 수술받았다"고 말했다. 이어 그는 "2017년 불법 시술로 성기에 칫솔을 집어넣었다"고 밝혔다. 인도네시아 성 학자인 보이크 디안 누그라하 박사는 "사람들이 음경을 크게 만들기 위해 칫솔, 실리콘, 돌, 구슬 등을 성기에 넣지만 효과가 없을 뿐더러 위험하다"고 말했다.
불법 음경 확대술엔 여러 방법이 쓰인다. 누그라하 박사의 말처럼 칫솔, 구슬, 옥돌 등 고체 물질을 음경에 상처를 낸 뒤 밀어 넣기도 하고, 바셀린, 파라핀, 실리콘 등을 액체 상태로 만들어 음경 피부에 상처를 낸 뒤 주입하기도 한다. 이윤수조성완비뇨기과의원 이윤수 원장은 "음경의 표피이자 발기 조직인 백막에 칫솔대를 갈아 넣을 수는 있다"며 "하지만 이 인도네시아 사례처럼 칫솔대 자체를 음경에 넣는 것은 드문 일"이라고 말했다.
이윤수 원장은 "관계 중 음경이 부러질 수는 있지만, 이번 인도네시아 남성의 경우 칫솔 때문에 음경이 부러진 건 아니라고 본다"며 "다만, 불법 음경 확대술은 염증이나 피부 괴사 등 부작용을 일으킬 수 있다"고 말했다. 그는 "음경에 고체 물질을 넣었다면 제거하면 되지만, 액체 물질은 시간이 지나 하복부 혹은 귀두까지 흘러내릴 수 있어 위험성이 더 크다"고 말했다. 액체 물질이 귀두, 음낭, 피부로 번지면 염증 반응과 조직괴사를 유발한다. 이는 혹의 일종인 경화성 지방 육아종을 발생시키고 혈관장애를 유도하기도 한다. 액체 물질이 피부 밑에서 녹아 음경 전체로 퍼지고 정맥을 통해 흉부를 통과하기도 하는데, 이후 폐색전증이 발생하면서 급성 폐부종으로 사망할 우려도 있다.
지난 1일 영국 매체 더 선은 성기에 칫솔을 삽입했다가 성관계 중 성기가 골절된 43세 인도네시아 남성 A씨의 사연을 소개했다. A씨는 "성관계 중 성기가 부러졌다"며 "성기를 재건하고 칫솔을 빼내기 위해 2시간 동안 수술받았다"고 말했다. 이어 그는 "2017년 불법 시술로 성기에 칫솔을 집어넣었다"고 밝혔다. 인도네시아 성 학자인 보이크 디안 누그라하 박사는 "사람들이 음경을 크게 만들기 위해 칫솔, 실리콘, 돌, 구슬 등을 성기에 넣지만 효과가 없을 뿐더러 위험하다"고 말했다.
불법 음경 확대술엔 여러 방법이 쓰인다. 누그라하 박사의 말처럼 칫솔, 구슬, 옥돌 등 고체 물질을 음경에 상처를 낸 뒤 밀어 넣기도 하고, 바셀린, 파라핀, 실리콘 등을 액체 상태로 만들어 음경 피부에 상처를 낸 뒤 주입하기도 한다. 이윤수조성완비뇨기과의원 이윤수 원장은 "음경의 표피이자 발기 조직인 백막에 칫솔대를 갈아 넣을 수는 있다"며 "하지만 이 인도네시아 사례처럼 칫솔대 자체를 음경에 넣는 것은 드문 일"이라고 말했다.
이윤수 원장은 "관계 중 음경이 부러질 수는 있지만, 이번 인도네시아 남성의 경우 칫솔 때문에 음경이 부러진 건 아니라고 본다"며 "다만, 불법 음경 확대술은 염증이나 피부 괴사 등 부작용을 일으킬 수 있다"고 말했다. 그는 "음경에 고체 물질을 넣었다면 제거하면 되지만, 액체 물질은 시간이 지나 하복부 혹은 귀두까지 흘러내릴 수 있어 위험성이 더 크다"고 말했다. 액체 물질이 귀두, 음낭, 피부로 번지면 염증 반응과 조직괴사를 유발한다. 이는 혹의 일종인 경화성 지방 육아종을 발생시키고 혈관장애를 유도하기도 한다. 액체 물질이 피부 밑에서 녹아 음경 전체로 퍼지고 정맥을 통해 흉부를 통과하기도 하는데, 이후 폐색전증이 발생하면서 급성 폐부종으로 사망할 우려도 있다.