이미지
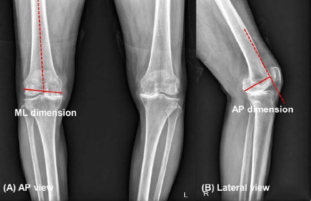
퇴행성 관절염 무릎의 수술 전 X-ray에서 대퇴골 모양 파악을 위한 가로 및 세로 길이 측정. 왼쪽부터 대퇴골의 가로길이 측정법, 대퇴골의 세로 길이 측정법./사진=강북삼성병원

무릎 인공관절 전치환술 시 환자 대퇴골의 모양에 따른 협소형 인공관절 선택 기준이 제시됐다.

성균관대 의대 강북삼성병원(원장 신현철) 정형외과 안지현 교수팀은 무릎 인공관절 전치환술 후 치환물 돌출을 피할 수 있도록 수술 전 X-ray 검사를 통해 환자 대퇴골 모양에 따른 인공관절 선택 기준을 분석한 연구 결과를 발표했다.

인공관절 전치환술은 손상된 연골을 제거하고 인체에 무해한 인공관절을 삽입해 관절의 기능을 되살리는 수술이다. 무릎 인공관절 전치환술의 경우, 대부분 양호한 결과를 보이지만 일부 환자들은 환자 뼈 크기에 비해 큰 인공관절 치환물이 사용될 때 삽입된 치환물이 돌출되기도 한다. 이러한 치환물 돌출은 통증을 유발해 심할 경우 재치환술을 필요로 한다.

기존 무릎 인공관절은 서양인의 체형을 기준으로 제작돼 동양 환자, 특히 여자 환자의 경우 대퇴골이 세로 길이보다 가로 길이가 작은 모양이어서 인공관절 치환물이 돌출될 가능성이 높았다. 이를 극복하기 위해 최근에는 가로가 좁은 협소형 대퇴골 치환물이 도입돼 표준형 대퇴골 치환물 중에 선택해 사용할 수 있게 됐다.




이미지
새로 도입된 협소형 치환물./사진=강북삼성병원

연구팀은 표준형 치환물과 협소형 치환물 중 각각 치환물에 적합한 환자 군을 예측하기 위해 2018~2020년에 수술한 504례의 무릎 인공관절 전치환술 환자를 분석했다. 먼저 연구팀은 수술 전 시행한 무릎 X-ray 검사에서 환자 대퇴골 원위부의 모양을 파악하기 위해 가로, 세로 길이를 측정해 비율을 확인했다. 이어 표준형 대퇴골 치환물을 사용한 환자 대퇴골 가로-세로 비율과 협소형 치환물을 사용한 환자 대퇴골 가로-세로 비율의 차이를 분석했다. 그 결과 환자 대퇴골 가로 세로 길이의 비가 133.3%~135.4% 이하인 경우, 표준형 대퇴골 치환물을 사용했을 때 돌출 발생 위험성이 증가했다.

또한, 504례의 수술 환자 중 협소형 치환물이 필요한 경우가 229례로 약 45.4%였으며, 그중 여자 환자는 218명으로 남자 대비 여자 비율이 약 19.8배 높았다. 이는 여자 환자에게 표준형 치환물 사용 시, 치환물 돌출 발생 가능성이 높다는 것을 의미한다.




이미지
강북삼성병원 정형외과 안지현 교수./사진=강북삼성병원

안지현 교수는 “무릎 인공관절 전치환술에서 발생하는 치환물 돌출은 통증을 지속시키기 때문에 반드시 피해야 한다”며 “이번 연구를 통해 환자 대퇴골 가로 세로 길이의 비에 따라 어떤 인공 관절 치환물을 사용하는 것이 더욱 적합할지 기준을 마련할 수 있게 되었다”고 말했다. 이어 안 교수는 “특히 CT가 아닌 X-ray라는 간편하고 경제적인 방법으로 환자의 치환물 돌출을 미리 대비할 수 있다는 것이 큰 장점이며, 이러한 기준 제시는 수술 시간 감소, 수술 후 안정성 개선 등 여러 효과로 이어지게 될 것”이라고 말했다.

한편 이번 연구는 ‘독일 정형외과학회 학술지(Archives of Orthpaedic and Trauma Surgery)’ 온라인판에 최근 게재됐다.




이슬비 헬스조선 기자