이미지
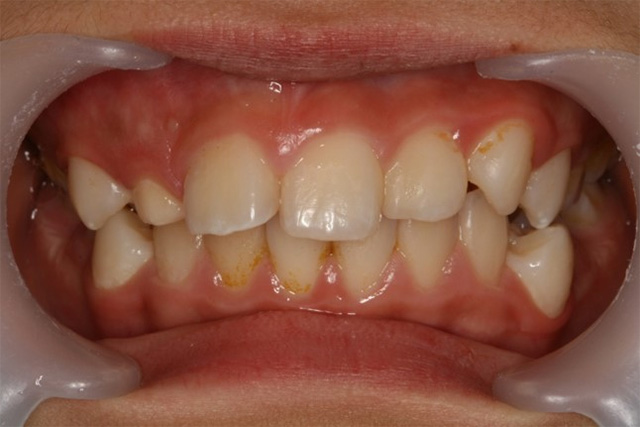
매복치로 인해 치열이 틀어진 모습/사진=일산병원

이가 정상적으로 나오지 못하고 잇몸이나 턱뼈 안에 남아 있을 수 잇다. 이것이 '매복치'다. 이가 나올 공간이 부족하거나 유치(乳齒)가 제대로 빠지지 못하는 등의 원인으로 발생한다. 매복치는 보통 10~11살에 많이 발견되는데 치료 시기를 놓치면 주변 다른 치아 뿌리를 녹이거나 전체 치열을 틀어지게 할 수 있다. 국민건강보험 일산병원 치과교정과 이지연 교수는 "매복치 주변으로 물혹이 생기기도 해 성장기 어린이는 정기적인 구강검진으로 조기 발견해 옆 치아를 빼야 하는 상황이 생기지 않도록 해야 한다"고 말했다.

매복치를 교정하려면 잇몸을 절개한 후 치아를 밖으로 잡아당겨 제대로 나오게 돕는 '견인치료'를 해야 한다. 치료가 늦어 이런 견인치료 효과가 없다면 수술로 제거한다. 하지만 잇몸에는 혈관과 신경이 복잡하게 얽혀 있어 정확한 진단과 체계적인 치과 협진이 필요하다. 이지연 교수는 "매복치가 발견되면 교정과, 구강악안면외과 등 치과 전문의와 종합적인 상담 후 적절한 교정시기를 잡고 진행해야 하며, 치료 종료 후에도 6개월이나 1년 간격으로 내원해 치료 결과가 잘 유지되고 있는지 정기적으로 관찰해야 한다”고 말한다.

만 6세부터 매년 한 번씩 파노라마 엑스레이를 찍으면 매복치 예방에 도움이 된다. 유치가 너무 일찍 빠져서 주변 치아가 영구치가 나올 자리를 막을 가능성이 있다면 공간유지장치를 하는 방법도 있다.




이해나 헬스조선 기자