곳곳에 퍼진 재발암, 온몸에 방사선 쏴 한번에 치료
정상조직 손상없이 암세포만 공격
방사선 어려우면 다중표적항암제
유전자 검사로 암재발 예측도 가능

윤모(69·서울 서대문구)씨는 13년 전 눈물샘에 암이 생겨 상악동까지 제거하는 수술을 받았다. 윤씨는 완치 판정을 받고 건강하게 살았지만, 8년 뒤 머리가 아프고 코에서 피가 나는 증상이 이어져 병원을 찾아갔다. 검사 결과, 암이 비강으로 전이돼 재발해 있었다. 주치의는 "암이 시신경과 맞닿아 있어 정교한 치료가 필요하다"고 진단한 뒤 토모테라피 치료를 실시했다. 윤씨의 암덩어리는 모두 제거됐고, 현재 건강하게 살고있다.




이미지
몸 여러 곳에 퍼진 재발전이암도 최신 방사선장비를 이용해 동시에 치료할 수 있다. 암 환자가 토모테라피 치료를 받을 준비를 하고 있다. 뇌가 방사선의 영향을 받지 않도록 얼굴에 보호마스크를 덮었다. / 신지호 헬스조선 기자 spphoto@chosun.com
재발전이암은 처음 생긴 암(원발암)이 완치 판정을 받은 뒤에 다른 장기로 옮겨가서 재발한 암을 말한다. 새로 생긴 암세포를 조직검사해서 처음 생겼던 암과 연관성이 나오면 재발전이암으로 판정한다. 원발암의 종류에 따라 전이가 잘 되는 부위가 다르다. 대부분의 암은 림프절에서 재발하는 경우가 많은데, 유방암과 갑상선암은 폐·폐암은 부신·전립선암은 뼈·위암과 대장암은 간으로 잘 전이된다.

토모테라피로 다발성 전이암 한번에 치료

재발전이암은 한 곳에 생겼는지, 몸 여러 곳에 생겼는지와 암의 진행 정도에 따라 치료법이 다르다. 일반적으로 재발전이암은 원발암에 비해 치료가 어렵다. 처음 생긴 암의 치료 과정에서 암세포가 방어력을 쌓았으며, 또 면역체계에 이기기 위해 유전자가 많이 변형됐기 때문이다.

치료는 수술, 항암제, 방사선 등을 이용한다. 강남세브란스병원 방사선종양학과 금기창 교수는 "방사선치료는 과거에는 암이 국소성인 경우에만 썼으나, 최근 토모테라피 등 방사선장비가 발전하면서 몸 여러 곳에 전이돼 재발한 암에도 적용한다"며 "토모테라피는 웬만한 사람의 키와 비슷한 160cm까지 방사선을 쏠 수 있기 때문에, 여러 곳에 재발한 암덩어리를 한 번에 치료할 수 있다"고 말했다. CT(컴퓨터단층촬영) 영상을 통해 암의 위치를 실시간으로 확인하면서 360도 회전해 방사선을 쏜다. 토모테라피는 지난 1일부터 두경부암, 전립선암, 뇌종양, 척추종양과 예전에 방사선치료를 받았던 부위에 재발한 암의 경우 건강보험이 적용된다.




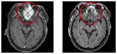
이미지
윤모씨의 눈문샘암이 재발한 비강암 CT사진(왼쪽)과 토모테라피 치료 후 암덩어리가 사라진 사진. / 신지호 헬스조선 기자 spphoto@chosun.com
재발전이암은 이 외에 사이버나이프, 양성자치료기, 노발리스, 감마나이프 등 다양한 방사선 장비로 치료한다. 한 부위에 국소성으로 전이한 재발암은 방사선으로 정밀하게 치료할 수 있다. 강남세브란스병원 방사선종양학과 이익재 교수는 "최신 방사선 장비는 오차범위가 2~3mm 정도에 불과해 암 주변의 정상 조직은 건드리지 않고 환부에 방사선을 집중적으로 쏘아 암세포만 골라 죽인다"고 말했다.

수술·방사선치료 어려울 땐 다중표적항암제

수술이나 방사선치료로 효과를 보기 어렵다고 판단하면 표적항암제를 쓴다. 표적항암제는 암세포를 골라 죽이거나 암세포에 영양을 공급하는 혈관을 차단해 암을 죽이는 약이다. 강남세브란스병원 종양내과 조재용 교수는 "이 중에서도 암세포를 증식시키는 여러 경로를 한 번에 차단하는 다중표적항암제를 쓰면 재발전이암에 더욱 효과적"이라고 말했다. 현재 우리나라에서는 유방암과 간암에 다중표적항암제를 사용한다.

유전자 검사로 재발 가능성 예측

최근 유전자 검사로 암의 재발을 예측하는 방법이 개발됐다. 조재용 교수팀과 미국 MD앤더슨 암센터 홍완기 박사팀은 위암 수술을 받은 200여 명을 대상으로 암의 재발에 영향을 미치는 유전자를 연구했다. 그 결과, CTNNB1, EXOCS3, TOP2A, LBA1, CCL5, LZTR1 등 6가지 유전자로 위암 재발을 예측할 수 있는 것으로 확인됐다. 조재용 교수는 "위암뿐 아니라 간암, 폐암 등의 재발 유전자를 찾는 연구가 국제적으로 이뤄지고 있다"며 "다양한 암 재발 유전자가 확인되면 재발전이암의 예방과 조기발견에 큰 도움이 될 것"이라고 말했다.