수원 이춘택병원 밝혀

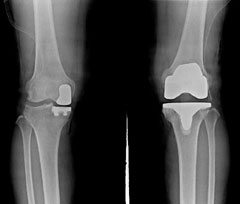
이미지
무릎 관절 반 치환술(왼쪽)과 전 치환술.
로봇으로 손상된 무릎 관절의 일부만 인공관절로 교체하는 '로봇 인공관절 반(半) 치환술'이 국내 연구팀에 의해 개발됐다. '반 치환술'은 관절 전체를 교체하는 '전(全) 치환술'에 비해 수술이 까다롭고, 실패율이 높아 지금까진 관절 일부가 손상된 환자도 안전한 '전 치환술'을 받는 경우가 많았다.

수원 이춘택병원 로봇관절연구소는 독자적으로 개발한 수술 장비와 소프트웨어를 이용해 의료진이 작년 12월 19일 강모(72)씨에게 '로봇 인공관절 반 치환술'을 성공적으로 시술했으며, 그 이후 21명에게도 이 수술을 해 모두 성공했다고 10일 밝혔다. 의료진은 무릎을 4~6㎝만 절개해 관절의 손상된 부분을 제거한 뒤 로봇으로 정밀하게 뼈를 깎아 인공관절을 장착했다. 수술 뒤 빠른 환자는 2~3시간 만에 보행기에 의지해 걸음을 걸었으며, 평균적으로 4~5일 만에 계단을 오르내렸고, 5~6일 만에 퇴원했다고 연구소는 밝혔다.



'전 치환술'이든 '반 치환술'이든 손으로 할 경우엔 일반적으로 15㎝ 이상 절개하며, 로봇으로 '전 치환술'을 할 때는 10㎝ 정도 절개한다. 이춘택 원장은 "4~6㎝를 째는 '최소 절개 로봇 반 치환술'의 성공은 아마도 우리 병원이 세계 최초일 것"이라며 "오는 4월 일본 오사카에서 열리는 '컴퓨터보조수술학회'에 임상결과를 발표할 예정이다"고 말했다.

어떤 수술이든 손상 부위만 제거하는 것이 원칙이지만 인공관절 수술의 경우엔 부분 손상 환자도 관절 전체를 제거하는 경우가 많았다. 반 치환술의 경우 끼운 인공관절과 원래 관절이 하나의 관절처럼 움직여야 하는데 부분 인공관절의 위치나 중심축이 조금만 틀어져도 수술이 실패할 가능성이 높아 의사들이 반 치환술을 꺼렸다고 한다. 이 원장은 "우리나라 환자는 대부분 안짱다리여서 관절의 안쪽만 마모되고 바깥쪽은 멀쩡한 경우가 30~40%쯤 된다"며 "이런 환자는 안쪽 관절만 갈아 끼우면 되지만 손으로는 그렇게 정교하게 중심축과 각도를 맞추기 힘들어 '전 치환술'을 하는 경우가 많았다"고 설명했다.

이 원장은 "그러나 관절의 일부만 손상된 모든 환자가 '로봇 반 치환술'을 받을 수 있는 것은 아니며 관절의 변형 정도나 전후방 십자인대의 상태 등에 따라 '전 치환술'을 받아야 할 경우도 있다"고 말했다.

 




정시욱 헬스조선 기자