생리 때만 되면 잇몸이 붓고 피가 나는 증상을 반복적으로 겪는 여성이 적지 않다. 임신 중에도 비슷한 증상이 나타난다. 이른바 ‘월경성 치은염’, ‘임신기 치은염’으로, 여성의 약 3분의 1이 경험하는 것으로 알려져 있다. 단순한 구강 문제로 넘겨도 되는 걸까?
◇호르몬 변화로 잇몸 더 붓고 쉽게 출혈
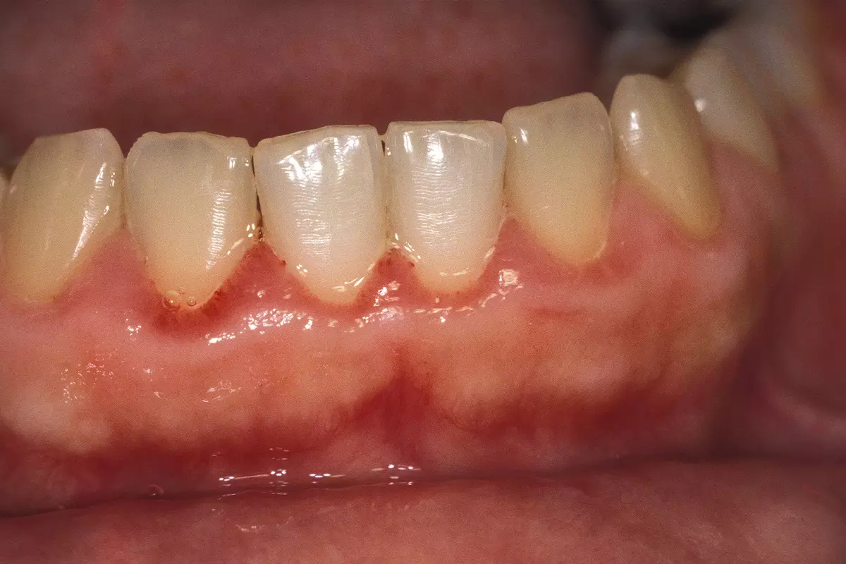
치은염은 잇몸에 염증이 생기는 대표적인 치주 질환이다. 일반적으로는 치태(플라그)나 음식물 찌꺼기 때문에 발생하지만, 임신기나 월경기에는 호르몬 변화로 증상이 더 쉽게, 더 심하게 나타난다. 이 시기에는 에스트로겐과 프로게스테론 분비가 증가하면서 잇몸 조직의 혈류량이 늘어난다. 그 결과 혈관이 확장되고 충혈과 부종이 심해져 염증 반응이 과도하게 나타난다. 잇몸이 선홍색으로 붓고 통증이 생기며, 칫솔질만으로도 쉽게 출혈이 발생하는 것이 특징이다.
월경성 치은염은 보통 월경 1주일 전부터 시작돼 월경이 시작되면 자연스럽게 완화된다. 임신기 치은염은 임신 2~3개월경 나타나 8개월까지 악화하다가, 9개월 이후 점차 호전되는 경향을 보인다.
문제는 이를 방치할 경우다. 염증이 치조골(치아를 지지하는 뼈)까지 번지면 치주염으로 진행될 수 있다. 이 경우 치아 흔들림, 심한 구취, 잇몸 퇴축, 씹을 때 통증, 심하면 치아 탈락까지 이어질 수 있다. 일부 연구에서는 치주염이 심혈관질환 등 전신 질환과 연관될 수 있다는 보고도 있다. 구강 내 세균이 혈류를 타고 온몸으로 퍼질 수 있어서다.
◇“올바른 칫솔질이 핵심”… 보조기구 활용도 도움
임신 중이거나 생리 기간이라고 해서 특별한 관리법이 필요한 것은 아니다. 기본적인 구강 위생 관리만 잘 지켜도 충분히 예방할 수 있다. 다만 이 시기에 잇몸 부종이나 출혈이 잦다면, 구강 관리 습관을 점검하는 계기로 삼는 것이 바람직하다.
가장 중요한 것은 올바른 칫솔질이다. 식사 후 음식물 찌꺼기를 제대로 제거하지 않으면, 작은 잔여물에도 수많은 세균이 증식해 염증을 악화시킬 수 있다. 치약의 종류보다 정확한 칫솔질 방법을 익히는 것이 더 중요하다. 반복적으로 치은염이 발생한다면 치과에서 칫솔질 교육을 받는 것도 도움이 된다.
또한 칫솔질만으로는 치아 사이의 치태 제거에 한계가 있는 만큼, 치실이나 치간칫솔, 구강세정기(워터픽) 등 보조 기구를 함께 사용하는 것이 좋다. 임신 중 입덧이나 구토로 양치가 어려운 경우에는 향이 약한 치약이나 작은 칫솔을 사용하는 것도 도움이 된다.
한편, 임신 중에는 태아에 영향을 줄 수 있다는 우려로 치과 방문을 미루는 경우가 많다. 하지만 이는 잘못된 인식이다. 임신 중기(4~7개월)에는 대부분의 치과 치료를 비교적 안전하게 받을 수 있다. 오히려 치은염을 방치하면 치주염으로 악화돼 구강 내 세균이 혈류를 통해 전신으로 퍼지고, 태아 건강에도 영향을 줄 수 있다. 다만 임신 초기(1~3개월)와 말기(8~10개월)에는 치료 자체보다 스트레스와 불안이 부담이 될 수 있어 주의가 필요하다.
스케일링과 같은 기본적인 치료는 전문가 상담 후 임신 시기와 관계없이 시행할 수 있다. 임신을 계획하고 있다면 미리 스케일링과 필요한 치료를 받아두는 것이 가장 안전한 방법이다.
◇호르몬 변화로 잇몸 더 붓고 쉽게 출혈
치은염은 잇몸에 염증이 생기는 대표적인 치주 질환이다. 일반적으로는 치태(플라그)나 음식물 찌꺼기 때문에 발생하지만, 임신기나 월경기에는 호르몬 변화로 증상이 더 쉽게, 더 심하게 나타난다. 이 시기에는 에스트로겐과 프로게스테론 분비가 증가하면서 잇몸 조직의 혈류량이 늘어난다. 그 결과 혈관이 확장되고 충혈과 부종이 심해져 염증 반응이 과도하게 나타난다. 잇몸이 선홍색으로 붓고 통증이 생기며, 칫솔질만으로도 쉽게 출혈이 발생하는 것이 특징이다.
월경성 치은염은 보통 월경 1주일 전부터 시작돼 월경이 시작되면 자연스럽게 완화된다. 임신기 치은염은 임신 2~3개월경 나타나 8개월까지 악화하다가, 9개월 이후 점차 호전되는 경향을 보인다.
문제는 이를 방치할 경우다. 염증이 치조골(치아를 지지하는 뼈)까지 번지면 치주염으로 진행될 수 있다. 이 경우 치아 흔들림, 심한 구취, 잇몸 퇴축, 씹을 때 통증, 심하면 치아 탈락까지 이어질 수 있다. 일부 연구에서는 치주염이 심혈관질환 등 전신 질환과 연관될 수 있다는 보고도 있다. 구강 내 세균이 혈류를 타고 온몸으로 퍼질 수 있어서다.
◇“올바른 칫솔질이 핵심”… 보조기구 활용도 도움
임신 중이거나 생리 기간이라고 해서 특별한 관리법이 필요한 것은 아니다. 기본적인 구강 위생 관리만 잘 지켜도 충분히 예방할 수 있다. 다만 이 시기에 잇몸 부종이나 출혈이 잦다면, 구강 관리 습관을 점검하는 계기로 삼는 것이 바람직하다.
가장 중요한 것은 올바른 칫솔질이다. 식사 후 음식물 찌꺼기를 제대로 제거하지 않으면, 작은 잔여물에도 수많은 세균이 증식해 염증을 악화시킬 수 있다. 치약의 종류보다 정확한 칫솔질 방법을 익히는 것이 더 중요하다. 반복적으로 치은염이 발생한다면 치과에서 칫솔질 교육을 받는 것도 도움이 된다.
또한 칫솔질만으로는 치아 사이의 치태 제거에 한계가 있는 만큼, 치실이나 치간칫솔, 구강세정기(워터픽) 등 보조 기구를 함께 사용하는 것이 좋다. 임신 중 입덧이나 구토로 양치가 어려운 경우에는 향이 약한 치약이나 작은 칫솔을 사용하는 것도 도움이 된다.
한편, 임신 중에는 태아에 영향을 줄 수 있다는 우려로 치과 방문을 미루는 경우가 많다. 하지만 이는 잘못된 인식이다. 임신 중기(4~7개월)에는 대부분의 치과 치료를 비교적 안전하게 받을 수 있다. 오히려 치은염을 방치하면 치주염으로 악화돼 구강 내 세균이 혈류를 통해 전신으로 퍼지고, 태아 건강에도 영향을 줄 수 있다. 다만 임신 초기(1~3개월)와 말기(8~10개월)에는 치료 자체보다 스트레스와 불안이 부담이 될 수 있어 주의가 필요하다.
스케일링과 같은 기본적인 치료는 전문가 상담 후 임신 시기와 관계없이 시행할 수 있다. 임신을 계획하고 있다면 미리 스케일링과 필요한 치료를 받아두는 것이 가장 안전한 방법이다.