40개 이상의 치아를 가진 말레이시아 남성이 기네스북에 올랐다.
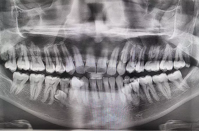
11일 기네스 세계기록에 따르면, 말레이시아 남성 프라탑 무니안디(33)는 최근 ‘최다 치아 보유 남성’ 부문에 이름을 올렸다. 그의 치아 개수는 총 42개로, 일반 성인 치아 개수(32개)보다 10개 더 많다.
앞서 프라탑은 두 명의 치과의사의 검진을 통해 치아 개수를 확인했다. 검사 결과, 그는 42개 치아 외에도 잇몸 속에 매복한 치아가 2개 더 있는 것으로 나타났다.
프라탑은 “5년 전 차를 마시다가 가족들에게 ‘치아가 더 자라는 것 같다’고 이야기했다”며 “그때 남들보다 치아가 더 많다는 것을 처음 발견했다”고 말했다. 그러면서 “당시 치아를 세어보니 38개였고, 2023년 초에는 총 42개의 치아가 난 걸 알게 됐다”고 했다.
프라탑은 42개 치아가 모두 정상적으로 자랐으며, 건강에 별다른 문제가 없는 것으로 전해졌다. 그는 “하루에 두 번 양치질을 하고 정기적으로 치실을 사용하는 등 구강 위생을 철저히 관리하기 위해 노력하고 있다”며 “치아는 나에게 어떤 영향도 미치지 않는다”고 말했다. 이어 “내가 알려주기 전까지 대부분 사람들이 나의 덧니를 알아차리지 못한다”며 “비밀리에 세계 기록을 보유한 사람이 얼마나 될지 궁금하다”고 했다.
11일 기네스 세계기록에 따르면, 말레이시아 남성 프라탑 무니안디(33)는 최근 ‘최다 치아 보유 남성’ 부문에 이름을 올렸다. 그의 치아 개수는 총 42개로, 일반 성인 치아 개수(32개)보다 10개 더 많다.
앞서 프라탑은 두 명의 치과의사의 검진을 통해 치아 개수를 확인했다. 검사 결과, 그는 42개 치아 외에도 잇몸 속에 매복한 치아가 2개 더 있는 것으로 나타났다.
프라탑은 “5년 전 차를 마시다가 가족들에게 ‘치아가 더 자라는 것 같다’고 이야기했다”며 “그때 남들보다 치아가 더 많다는 것을 처음 발견했다”고 말했다. 그러면서 “당시 치아를 세어보니 38개였고, 2023년 초에는 총 42개의 치아가 난 걸 알게 됐다”고 했다.
프라탑은 42개 치아가 모두 정상적으로 자랐으며, 건강에 별다른 문제가 없는 것으로 전해졌다. 그는 “하루에 두 번 양치질을 하고 정기적으로 치실을 사용하는 등 구강 위생을 철저히 관리하기 위해 노력하고 있다”며 “치아는 나에게 어떤 영향도 미치지 않는다”고 말했다. 이어 “내가 알려주기 전까지 대부분 사람들이 나의 덧니를 알아차리지 못한다”며 “비밀리에 세계 기록을 보유한 사람이 얼마나 될지 궁금하다”고 했다.
한편, 치아가 32개(성인 기준)보다 많이 난 것을 의학적으로는 ‘다발성 과잉치증’이라고 한다. 1~2개 과잉치는 종종 발견되지만, 프라탑처럼 10개씩 과잉치가 확인되는 경우는 많지 않다.
지난해 미국 치과교정·악안면외과학회지에는 총 81개 치아를 가진 11세 브라질 소녀의 사례가 보고돼 화제를 모으기도 했다. 해당 소녀는 유치 18개와 영구치 32개, 과잉치 31개 등을 보유했으며, 위쪽 유치 1개를 뽑기 위해 병원을 찾았다가 이 같은 사실을 발견한 것으로 전해졌다.
과잉치는 잇몸 속에 깊이 묻혀 있거나 정상 치아와 형태가 유사해 정확한 구분이 어렵다. 환자가 임의로 발치할 경우 주변 치아나 잇몸, 턱뼈 등이 손상될 위험이 있다.
지난해 미국 치과교정·악안면외과학회지에는 총 81개 치아를 가진 11세 브라질 소녀의 사례가 보고돼 화제를 모으기도 했다. 해당 소녀는 유치 18개와 영구치 32개, 과잉치 31개 등을 보유했으며, 위쪽 유치 1개를 뽑기 위해 병원을 찾았다가 이 같은 사실을 발견한 것으로 전해졌다.
과잉치는 잇몸 속에 깊이 묻혀 있거나 정상 치아와 형태가 유사해 정확한 구분이 어렵다. 환자가 임의로 발치할 경우 주변 치아나 잇몸, 턱뼈 등이 손상될 위험이 있다.