[Dr. 박의현의 발 이야기] (78)

이미지
박의현 연세건우병원장
관절염에 대한 오해 하나. 관절염은 무릎에만 생긴다? NO. 연골이 있는 관절은 어디에나 관절염이 발생할 수 있고, 특히 어깨, 팔꿈치, 손목 관절보다는 발목과 무릎과 같이 체중의 부하가 가중되는 곳이 더 취약하다.

오해 둘. 관절염은 퇴행성으로만 발생한다? NO. 관절염은 염좌, 골절 등의 외상성으로 발생하는 경우도 많다. 특히, 발목의 경우는 나이와 상관없이 활동이 많은 젊은층에서 발생하는 경우가 빈번하다.

연간 발목 외상 환자 130만 명이 병원을 찾고, 이중 20∼40대의 젊은 환자가 많은 것이 발목관절염의 특징이다.

무릎은 연골이 3∼6㎜이나, 발목의 경우 연골의 두께가 1㎜에 불과하고 무릎에 비해 단위면적당 받는 압력은 3배에 이른다. 이처럼 아주 섬세한 발목 관절이지만 운동 중 발생한 단순 타박상이나 염좌 정도로 인식되어 방치되는 경우도 많은 소위 침묵의 관절이다. 이에 발목이 보내는 작은 신호를 놓치지 말아야 한다.


발목관절염은 초기에는 증상이 거의 없다. 많이 사용했을 경우 미세하게 붓거나 찌르르한 증상이 있으면 보통 연골손상이 시작되는 신호이다. 중기까지 진행되면 아침에 첫발을 내딛을 때 발목에 이상이 느껴진다. 시큰하거나 뻐근한 신호가 오며 걷다보면 나아지는 것 같다가도 많이 걸으면 증상이 다시 나타난다. 후기가 되면 운동에 제약이 발생한다. 발목 부위의 부기가 확연히 드러나고 발목의 변형까지도 진행된다.

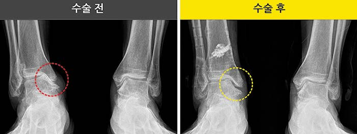
발목관절염은 1∼4기로 병기가 구분된다. 1기에는 보통 주사치료나 약물치료와 같은 보존적 치료를 시행한다. 발목내측 관절 간격이 좁아지는 2기나 내측이 무너진 3기에는 수술을 고려해야 한다. 필자의 병원은 SMO 교정술(발목과상부 경골절골술)과 내시경 연골재생술을 동시 시행해 치료의 효과를 높이고 있다. 이 술식은 자신의 발목 관절을 살리며 보존할 수 있고 회복이 빠른 장점이 있다.



이미지
체중 부하 축을 정상연골이 있는 쪽으로 옮기고 자가골수 줄기세포를 심어 발목관절염을 치료한다./연세건우병원 제공
SMO교정술은 내측 관절 연골에 과하게 쏠린 체중 부하축을 바깥쪽의 정상연골이 있는 외측으로 옮기는 술식이다. 발목이 다시 '정렬'이 되면 압력이 해소되어 통증이 감소하고, 수술 후 발목의 정상적 기능회복에 도움이 크다. 동시에 환자 자신의 자가골수 줄기세포를 심는 내시경 연골재생술을 시행할 수 있다. 내시경을 통해 피부절개를 최소화해 통증과 회복, 흉터 부담에 장점이 있고, 특히 표면에만 줄기세포를 도포하는 것이 아닌 연골의 깊은 곳에 줄기세포를 심어 재생된 연골의 질이 우수하다.

발목관절염이 더 진행되기를 기다렸다가 인공관절이나 유합술을 권하는 사례도 있지만 최근에는 자기관절을 살리면서 '정렬'과 '재생'을 통해 근원적인 치료를 하려고 한다. 발목관절염 4기에 하는인공관절치환술은 발목 움직임이 보존되고 정상에 가까운 보행이 가능해지지만, 재수술을 해야 하는 경우가 있으며 인공관절의 수명이 10∼15년으로 짧다는 한계가 있다. 유합술은 통증이 거의 사라지고 수술 수명이 반영구적이라는 장점이 있지만, 발목 구동 범위가 15도 정도로 제한되는 단점이 있다.


발목관절염이 의심되는 경우 경험 많은 족부전문의를 우선 찾기를 당부 드린다. 또한 유합술이나 인공관절치환술을 해야 할 정도로 병기가 진행되기 전에 환자 본인의 관절을 살리는 수술이 가능한 SMO와 연골재생술을 동시에 시행하는 병원과 족부전문의를 찾아가는 것도 좋은 방법이다.

(*이 칼럼은 연세건우병원 박의현 원장​의 기고입니다.)​