[해외토픽]

이미지
독일 46세 여성의 뱃속에서 나온 16.4kg에 달하는 거대 자궁근종./사진=의학사례보고저널
원인 모를 심각한 복부 비만이 지속되고, 월경과다가 수시로 발생하는 여성은 '자궁근종'을 의심해봐야 한다. 단순 복부 비만인 줄 알고 15년간 증상을 방치했다가 뒤늦게 거대 자궁근종을 발견한 독일 40대 여성 사례가 공개된 바 있다.

독일 UKSH(Universitatsklinikum Schleswig-Holstein) 대학병원 의료진은 46세 독일 여성 A씨가 15년간 자궁 출혈이 계속되고 복부가 점점 커지는 증상이 지속됐다며 산부인과를 찾았다고 밝혔다. 한 달에 생리를 여러 번 하고, 한 번 생리할 때 출혈량이 과다한 문제도 있었다. 전에도 병원을 몇 번 방문했지만, 당시 영상 촬영 등 철저한 검사를 하지 않아 종양이 발견되지 않았다. 하지만 UKSH 대학병원 의료진 진찰 결과, 복부가 과도하게 확대되고 늘어져 있었으며 양쪽 옆구리가 무언가로 가득차 있는 게 확인됐다. CT 촬영을 했더니, 거대한 크기의 종양이 발견됐다. 의료진은 수술로 종양을 제거했고, 종양 크기를 측정한 결과 부피가 무려 52cm x 37xm x 34cm에 달했고, 무게는 16.4kg이었다. 전체는 양성이 자궁근종이었으며 암은 아니었다. 다행히 A씨는 수술로 종양을 제거하고 입원 5일 만에 합병증 없이 퇴원했다.




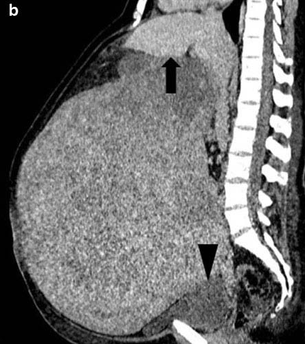
이미지
거대 자궁근종으로 뱃속이 가득 차있는 독일 여성의 CT 사진./사진=의학사례보고저널
의료진은 "자궁근종은 여성에서 흔히 발견되지만, 이번처럼 크기가 50cm가 넘고 무게가 11.6kg나 되는 거대 자궁근종은 극히 드물다"며 "양성종양은 특정 증상 없이 느리게 자랄 수 있어 환자가 눈치 채지 못할 수 있다"고 했다. 지금껏 보고된 가장 큰 자궁근종의 무게는 이미 사망한 여성의 몸에서 발견된 63.3kg짜리 자궁근종이었다. 지난 50년 동안 전세계적으로 보고된 거대 자궁근종은 약 60건이다.

의료진은 "자궁근종의 원인은 여전히 불명확하지만 가족력, 유전적 변화, 흡연, 비만, 고지혈증 등의 생활방식이 영향을 미치는 것으로 추정한다"며 "자궁근종은 여성의 생식능력에 문제를 일으킬 뿐 아니라 아니라 심리에 안 좋은 영향을 줄 수 있다"고 설명했다.


자궁근종을 조기에 발견하려면 최소 6개월 또는 1년에 한 번씩 산부인과에서 검사받는 게 좋다.

이번 사례는 '의학사례보고저널'에 게재됐다. 

이해나 기자