유방암은 발병률이 높다. ‘2019년 국가암등록사업 연례보고서’에 따르면 여성에게서 갑상선암 다음으로 많이 발병한다. 다행히 생존율도 높다. 2015년부터 2019년까지 5년 생존율은 93.6%에 달한다. 그런데 환자들은 다른 걱정을 한다. 수술 후 재발 방지를 위해 적용되는 방사선치료가 심혈관질환 위험을 높이기 때문이다.
◇재발 막기 위한 방사선치료가 심혈관질환 위험 높여
유방암의 표준치료법은 수술과 방사선치료다. 이중에서 방사선치료는 수술 후 재발 방지를 위해 시행된다. 방사선은 굉장히 강한 에너지로 암세포의 DNA 사슬을 깨뜨린다. DNA 사슬이 깨진 암세포는 더 이상 생존할 수 없다. 비침습적이고 부작용이나 합병증이 발생률이 상대적으로 적어 장점이 많지만, 왼쪽 유방에 대한 방사선치료의 경우 심혈관질환 위험을 높일 수 있다. 방사선이 심장의 정상세포에도 영향을 끼치기 때문이다.
한림대동탄성심병원 순환기내과 연구팀의 연구 결과에 따르면 유방암 치료 7년 후 심혈관질환 발생률은 고위험군의 경우 17%에 달하는 것으로 나타났다. 심혈관질환 발생에 영향을 미치는 주요 위험인자로 왼쪽 유방에 대한 방사선치료다. 심장이 위치한 왼쪽 유방에 방사선치료를 적용하면 인근 관상동맥이 방사선에 노출되기 때문이다.
2013년, 미국 의학저널에 실린 연구 결과에 따르면 유방암 방사선치료 중 심장에 전달되는 방사선량이 1Gy 증가할 때마다 관상동맥질환 발생률이 7.4% 증가하는 것으로 나타났다.
◇브레스홀딩, 모의치료 등으로 심혈관질환 막는다
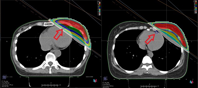
최근엔 왼쪽 유방 방사선치료 때 심장에 들어가는 방사선량을 최소화하기 위해 브레스홀딩(Breath Holding) 방사선치료가 시행된다. 방사선치료를 받는 환자에게 들숨 상태를 유지하게 하면서 치료를 진행하는 것이다. 숨을 들이마시면 폐가 부풀고 횡경막이 내려가면서 방사선 조사 부위가 심장과 멀어진다. 실제 방사선이 조사되는 시간은 30~40초 정도인데 10초씩 끊는 방식으로 진행하면 환자에게도 쉽다.
방사선을 정확히 조사하기 위한 모의치료 등도 적극 활용된다. 환자가 숨을 들이마시고 참은 상태에서 CT를 촬영하면 이에 맞춰서 방사선 조사 방향, 각도 등을 설계할 수 있다. 환자 체표면의 움직임까지 실시간으로 파악할 수 있는데 사전 CT촬영 결과가 환자의 체표면과 오차가 생길 경우 치료가 중단되는 기능도 있다.
한림대동탄성심병원 방사선종양학과 하보람 교수는 “지금까지 왼쪽 유방암 방사선치료는 심장의 해부학적인 위치 탓에 심혈관질환에 대한 우려가 컸다”며 “유방암 환자들은 생존기간이 긴 데 반해 15~20년 후 심혈관질환이 나타날 수 있기 때문에 환자들의 삶의 질을 높일 수 있도록 브레스홀딩 치료법을 모든 왼쪽 유방암 환자에게 적용되는 추세”라고 말했다.
◇재발 막기 위한 방사선치료가 심혈관질환 위험 높여
유방암의 표준치료법은 수술과 방사선치료다. 이중에서 방사선치료는 수술 후 재발 방지를 위해 시행된다. 방사선은 굉장히 강한 에너지로 암세포의 DNA 사슬을 깨뜨린다. DNA 사슬이 깨진 암세포는 더 이상 생존할 수 없다. 비침습적이고 부작용이나 합병증이 발생률이 상대적으로 적어 장점이 많지만, 왼쪽 유방에 대한 방사선치료의 경우 심혈관질환 위험을 높일 수 있다. 방사선이 심장의 정상세포에도 영향을 끼치기 때문이다.
한림대동탄성심병원 순환기내과 연구팀의 연구 결과에 따르면 유방암 치료 7년 후 심혈관질환 발생률은 고위험군의 경우 17%에 달하는 것으로 나타났다. 심혈관질환 발생에 영향을 미치는 주요 위험인자로 왼쪽 유방에 대한 방사선치료다. 심장이 위치한 왼쪽 유방에 방사선치료를 적용하면 인근 관상동맥이 방사선에 노출되기 때문이다.
2013년, 미국 의학저널에 실린 연구 결과에 따르면 유방암 방사선치료 중 심장에 전달되는 방사선량이 1Gy 증가할 때마다 관상동맥질환 발생률이 7.4% 증가하는 것으로 나타났다.
◇브레스홀딩, 모의치료 등으로 심혈관질환 막는다
최근엔 왼쪽 유방 방사선치료 때 심장에 들어가는 방사선량을 최소화하기 위해 브레스홀딩(Breath Holding) 방사선치료가 시행된다. 방사선치료를 받는 환자에게 들숨 상태를 유지하게 하면서 치료를 진행하는 것이다. 숨을 들이마시면 폐가 부풀고 횡경막이 내려가면서 방사선 조사 부위가 심장과 멀어진다. 실제 방사선이 조사되는 시간은 30~40초 정도인데 10초씩 끊는 방식으로 진행하면 환자에게도 쉽다.
방사선을 정확히 조사하기 위한 모의치료 등도 적극 활용된다. 환자가 숨을 들이마시고 참은 상태에서 CT를 촬영하면 이에 맞춰서 방사선 조사 방향, 각도 등을 설계할 수 있다. 환자 체표면의 움직임까지 실시간으로 파악할 수 있는데 사전 CT촬영 결과가 환자의 체표면과 오차가 생길 경우 치료가 중단되는 기능도 있다.
한림대동탄성심병원 방사선종양학과 하보람 교수는 “지금까지 왼쪽 유방암 방사선치료는 심장의 해부학적인 위치 탓에 심혈관질환에 대한 우려가 컸다”며 “유방암 환자들은 생존기간이 긴 데 반해 15~20년 후 심혈관질환이 나타날 수 있기 때문에 환자들의 삶의 질을 높일 수 있도록 브레스홀딩 치료법을 모든 왼쪽 유방암 환자에게 적용되는 추세”라고 말했다.