
입속 관리를 제대로 하지 않으면 잇몸병, 입냄새가 심해진다. 그런데 입은 일상생활 중 가장 많은 유해물질이 유입되는 기관이다. 건강보험심사평가원에 따르면 2019년 우리 국민이 외래 진료를 가장 많이 받은 질병 1위가 '잇몸병'이었다. 2018년 1위였던 급성기관지염을 제쳤다. 양치질, 가글, 치실 사용 등 다양한 치아 관리법이 활성화됐지만 아직 국내에 잇몸병으로 고생하는 사람이 많다는 뜻. 더군다나 입안에 세균이 많아지면 치매, 심장병을 유발한다는 보고도 잇따른다. 미국 미네소타대학 보건대학원 라이언 데머 교수 연구팀은 치아 건강이 나쁘면 치매 위험이 2배로 높아진다는 연구 결과를 발표했다. 잇몸병을 유발하는 세균이 신경을 따라 온몸을 돌아다니다가 뇌로 침투해 치매를 유발한다는 것이 연구팀의 분석이다. 미국 UCLA 치의과대학 마이클 뉴먼 교수는 “잇몸병 환자는 잇몸이 건강한 사람보다 심근경색이 발생할 확률이 3배로 높다”고 말했다. 일본의 치과의사 모리 아키라는 그의 저서를 통해 치주질환, 당뇨병, 지방간의 한 세트라고 말했다. 어느 하나가 발병하면 세 질환이 한꺼번에 발생할 위험이 급격히 높아진다는 것이다. 이 밖에도 입속 세균이 많아 잇몸병이 있는 사람은 입안이 건강한 사람보다 뇌혈관질환 발생 위험이 최대 2.63배, 뇌졸중 발생 위험이 1.63배, 임신여성의 조산위험이 최대 7.07배로 높다는 보고도 있다.
건강한 잇몸을 위해 가장 중요한 것은 제대로 된 양치질이다. 특히 잇몸과 치아 사이 공간을 깨끗이 닦아야 한다. 치실이나 치간칫솔도 사용해야 한다. 그래도 잇몸병이 자주 생긴다면 전문의를 찾아 올바른 양치질 방법을 교육받는 게 중요하다.
구강 유산균을 늘리는 것도 방법이다. 우리 입에는 700여 종 약 100억 마리에 이르는 세균이 살고 있다. 이들은 '유익균'과 '유해균'으로 나뉘어 공존과 균형을 유지한다. 하지만 스트레스, 잘못된 치아 관리와 식습관, 과도한 화학 성분의 가글, 항생제 남용 등으로 유해균이 과도하게 늘어나며 각종 입속 질환을 유발하게 되는 것이다. 아침에 일어나 입속이 텁텁하고 냄새가 나는 것도 밤 사이 번식한 세균 때문이다. 자기 전 이를 닦아도 자는 중 입속 깊은 곳에 살아남은 유해균이 증식해 악취가 나는 휘발성 황화합물을 내뿜는 게 원인이다.

구강 유산균은 입안에 정착해 유익균을 증식시키고 잇몸병, 충치, 입 냄새 등의 원인균을 찾아 활동을 억제한다. 입속 세균 균형을 건강한 상태로 회복시킨다는 점에서 입속 건강의 본질을 바로잡는 역할을 한다고 볼 수도 있다.
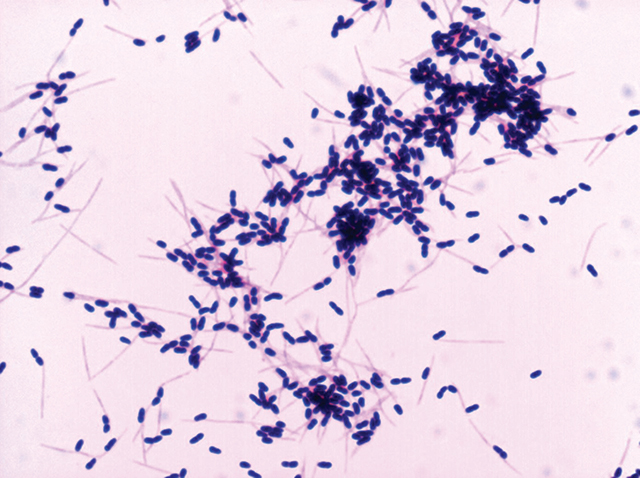
구강 유산균은 국내 소비자에게 생소하지만 이미 지난 1997년 전남대 의대 오종석 교수팀이 연구를 시작했다. 구강이 건강한 한국 어린이 460명으로부터 1640개의 균주를 분리하고 그 중 균주의 안전성, 구강 정착력, 유해균 억제력 등이 탁월한 'Weissella cibaria(웨이셀라 사이베리아. 유산균의 속명과 종명)' 유산균 균주 4종 'oraCMU' 'oraCMS1' 'oraCMS2' 'oraCMS3'를 최종 선발했다. 이 4개 균주가 한국 최초의 '구강 유산균'이며 아직까지 유일한 한국 구강 유산균으로 알려졌다. 구강 유산균의 기술력을 나타내는 구강 정착력, 유해균 억제력 등이 해외 구강 유산균 보다 우수하다는 평가도 받고 있다.
이런 오종석 교수팀의 구강 유산균 연구를 이어가고 균주를 상품화한 국내 유일의 구강유산균 전문기업이 있다. ㈜오라팜 이다. 연구의 연속성과 전문성을 이어가기 위해 오종석 교수 연구팀 핵심 연구인력을 그대로 영입하고 구강 유산균 연구소를 설립해 운영 중이다. 구강유산균 'oraCMU'와 'oraCMS1'을 활용한 다수의 전임상시험, 임상시험을 통해 잇몸질환, 충치, 입냄새에 대한 효과를 증명하고 있다. 21편의 연구논문을 발표하며 구강 유산균 연구에 투자를 아끼지 않는다. 지난 2017년에는 구취제거 기술력을 인정받아 보건복지부로부터 신기술(NET)인증을 받았고 국내외에 다수의 특허를 보유하고 있다.
㈜오라팜 윤은섭 대표는 “누구나 구강 관리를 열심히 하지만 늘 문제를 가지고 있는데, 입안 유해균이 증식하는 원인을 바로잡지 못하기 때문"이라며 "유익균 증식을 통해 구강 내 세균 균형을 자연 그대로 유지하는 것이 중요하다"고 말했다. 이어 그는 "구강 유산균 연구는 구강 질병의 해결이 아니라 문제의 본질을 찾아 근본을 바로 잡는 데 목적이 있다"고 말했다. 오라팜이 상품화한 구강 유산균은 구강내 유해균을 억제하고 유익균을 증식시키는 ‘오라덴티’와 입 냄새 원인균을 없애주는 ‘그린브레스’가 있다. 2017년부터 판매를 시작했다.
한편, 구강 유산균에 대한 전세계적 연구는 2000년대 초반부터 시작됐고, 최근 몇 년 사이 급속히 상품화되고 있다. 현재 미국, 유럽, 일본 등 30여 개국 100여 개 제품이 판매되며 대중화되고 있는 추세다.