눈 건강

이미지
사진=클립아트코리아

황반변성, 당뇨망막병증, 녹내장 등 실명을 유발하는 안과질환자가 늘어나고 있지만, 정기적인 안과검진을 받는 사람은 많지 않다. 김안과병원이 최근 전국 성인 남녀 1000명을 대상으로 조사한 결과, 정기적인 안과검진을 받는 사람이 11.3%에 불과했다. 남녀별로는 남자가 12.3%, 여자가 10.5%로 남자가 조금 더 많았다. 김안과병원 황영훈 교수는 "3대 실명질환으로 꼽히는 황반변성 등은 환자가 초기에 증상을 자각하기 어려워 치료시기를 놓쳐 실명까지 이를 수 있기 때문에 조기발견이 중요하다는 공통점을 갖고 있다"며 "이를 위해 정기적인 안과검진, 특히 안저검사가 필요하다"고 말했다. 안저검사는 시력에 중요한 역할을 하는 망막, 시신경, 망막혈관의 상태를 확인하는 검사다. 정기적으로 검사를 받는 것만으로도 황반변성, 당뇨망막병증, 녹내장을 조기에 발견할 수 있다.

대한안과학회는 10월 10일 '제49회 눈의 날'을 맞아 지난해에 이어 올해도 '안저검사, 눈 건강의 시작입니다'를 주제로 정하고, 안저검사를 국민건강검진에 포함시키기 위해 노력하고 있다. 눈의 날을 계기로 눈 건강을 위협하는 3대 실명질환과 이를 조기에 발견할 수 있는 안저검사에 대해 자세히 알아본다.




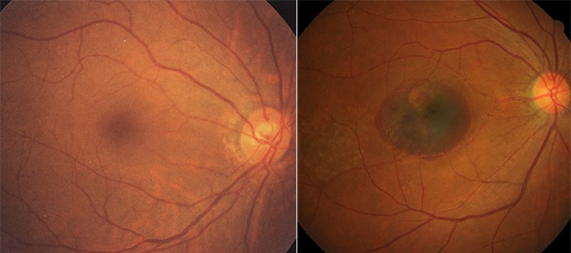
이미지
실명질환을 조기에 발견해 적절히 치료 받으려면 안저검사를 받아보는 게 좋다. 정상 안저사진(왼쪽)과 황반변성으로 망막에 출혈이 발생한 안저사진./사진=김안과병원 제공

황반변성, 노인 실명 원인 1위

황반변성은 망막 중심부에 위치한 황반부에 변화가 생기며 출혈, 세포손상 등으로 인해 시력 저하가 생기는 질환이다. 지난 2009년부터 2017년까지 김안과병원 망막병원을 찾은 환자들을 분석한 결과, 황반변성이 89%나 증가해 가장 많이 증가한 망막질환으로 꼽혔다. 70대 이상에서는 실명질환 1위를 차지했다. 황반변성을 유발하는 원인은 정확히 알려지지 않았지만, 노화가 주요 위험인자다. 초기 증상은 노안과 비슷하고, 이로 인해 자각이 쉽지 않아 질환을 방치하거나 치료 시기를 놓칠 수 있다. 질환이 진행될수록 시력 저하는 물론, 선이 휘어져 보이거나 사물의 중심이 어둡게 보이는 증상이 나타난다. 이미 증상을 자각한 후에는 질병이 상당히 진행된 경우가 많아 실명으로 이어질 수 있어 조기 발견을 위해서는 정기적인 안과검진이 필수다.

당뇨망막병증, 당뇨병 환자 주의

당뇨병은 우리 국민 10명 중 1명이 앓을 정도로 흔하고, 꾸준히 관리하면 생명에는 지장이 없다. 하지만 눈을 포함해 전신에 합병증을 유발할 수 있어 주의해야 한다. 특히 망막에 출혈과 삼출물이 생기는 당뇨망막병증이 눈에 나타나는 대표적인 합병증이다. 뚜렷한 증상이 없어 초기에 알아차리기 힘들다. 당뇨병 환자라면 누구도 당뇨망막병증에서 예외일 수 없다. 당뇨병을 오래 앓을수록 발생 빈도가 증가하는데, 당뇨병이 발병한지 20년이 지나면 1형 당뇨병 환자의 99%, 2형 당뇨병 환자의 약 60%에서 당뇨망막병증이 발병한다. 혈당 조절을 잘 하더라도 당뇨망막병증에 걸릴 위험이 완전히 사라지는 것은 아니다. 따라서 당뇨병을 진단받았다면 시력에 큰 변화나 별다른 증상이 느껴지지 않더라도 정기적으로 안저검사를 받는 것이 좋다.

녹내장, 안압 정상이어도 안심 안돼

녹내장은 눈 속에 있는 시신경이 점차 약해지는 병이다. 하지만 발견 시기와 치료 여부 등에 따라 예후가 달라진다. 특히 녹내장은 시야의 범위가 조금씩 좁아지기 때문에 다른 실명 질환과 마찬가지로 초기에 증상을 자각하기 쉽지 않다. 하지만 시신경은 한 번 손상되면, 원래대로 되돌리기 어려워 조기에 발견할수록 제 기능을 유지할 확률이 높다. 녹내장에 의해서 생기는 시신경 변화는 안저검사를 통해 발견할 수 있어 녹내장의 조기진단을 위해 안저검사가 중요하다. 특히, 녹내장 발생의 위험요인인 높은 안압, 40세 이상의 나이, 녹내장의 가족력, 고혈압, 당뇨병이 있는 경우 안저검사가 필수며 20~30대 젊은층도 고도근시가 있거나 녹내장 가족력이 있다면 미리 안저검사를 받는 것이 좋다.

안저검사는 안과의사가 있는 병의원이라면 어디든 가능하며 절차도 복잡하지 않다. 안저검사의 주기는 각 개인의 눈 상태에 따라 달라지지만, 40세 이상 성인은 최소한 1년에 한 번은 받는 것이 좋다. 40세가 되면서부터 실명질환 유병률이 크게 급증하기 때문이다. 황영훈 교수는 “환자가 증상을 자각했을 때는 이미 질환이 꽤 진행된 상태로 적절한 치료시기를 놓친 경우가 많다”며 “본인이 느끼는 증상과 상관 없이 정기적으로 안저검사를 받아 심각한 질환을 조기에 발견하는 것이 중요하다”고 말했다.




이해나 헬스조선 기자