단일통로 협착증 내시경 시술

하나의 통로만 이용해 시술 진행
수면마취로 고령 환자 부담 줄여
시술 2~3일 후엔 정상 활동 가능

이미지
단일통로 협착증 내시경 시술은 피부를 한 군데만 절개해 병변 주위 피하 조직이나 근육 등의 손상이 적다. 사진은 다나은신경외과 정택근 원장이 척추 모형과 내시경 기구를 이용해 단일통로 협착증 내시경 시술 방법을 설명하는 모습./신지호 헬스조선 기자
중장년층이 허리 통증 탓에 똑바로 누워서 잠들기 어렵고, 10분만 걸어도 다리가 저려 제자리에 주저앉아 쉬어야한다면 '척추관 협착증'을 의심해야 한다. 척추관 협착증은 대표적인 노인성 척추 질환 중 하나로 척추 신경을 둘러싼 뼈나 인대가 노화 등으로 두꺼워지면서 척추관(척추 중앙에 신경이 지나는 통로)이 좁아지는 것이 원인이다. 좁아진 척추관은 신경을 압박하게 되고, 이 때문에 허리나 다리에 통증이 생긴다.

다나은신경외과 정택근 원장은 "허리를 곧게 폈을 때 척추관이 좁아지면서 통증이 심해지기 때문에 환자들이 허리를 구부린 채 걷게 된다"며 "척추관이 좁아지면 신경이 압박받는 것은 물론, 혈액 순환 장애도 생겨 다리가 저린 증상이 주로 나타난다"고 말했다.

척추관 협착증은 특히 고령자에게 잘 생긴다. 건강보험심사평가원 자료에 따르면, 지난해 국내 척추관 협착증 환자 144만7120명 중 70대가 48만2457명으로 가장 많았다. 전체 환자 10명 중 9명은 50세 이상(136만9610명)이었다. 정택근 원장은 "고령자들이 척추관 협착증으로 일상생활에 어려움을 겪어도 수술 등에 대한 부담감 탓에 병원 방문을 꺼리는 경우가 많다"며 "척추관 협착증 환자 중 시술이나 수술이 필요한 경우는 20~30%이며, 최근에는 수술 부작용 위험을 줄인 시술법도 등장해 초기에 병원을 찾아 적절한 치료를 받는 것이 증상의 진행을 막고 삶의 질을 높이는 방법"이라고 말했다.

초기 환자는 보존적 치료로 증상 개선


척추관 협착증은 협착이 진행된 상태라도 증상이 심하지 않다면 근육이완제 등을 이용한 약물치료나 물리치료 등 보존적 치료를 우선적으로 시행한다. 다만 보존적 치료를 3~6개월 시행했음에도 통증이 줄어들지 않거나, 오히려 증상이 악화된다면 척추관의 구조를 원래 상태로 되돌리는 치료를 고려해야 한다. 이때 시행되는 치료법 중 하나가 감압 수술이다. 수술로 두꺼워진 인대나 뼈를 절제해 신경이 눌리지 않도록 만드는 것이다. 정택근 원장은 "절개 수술은 피부를 개복하고, 신경을 누르고 있는 인대 등을 잘라내는 과정에서 정상적인 피부나 주변 근육 등이 손상되는 경우가 많다"며 "수술을 하려면 전신마취를 해야 하는데, 척추관 협착증 환자 중 고령자가 많은 만큼 전신마취에 부담을 느끼는 사람이 많다"고 말했다. 전신마취는 호흡을 정지시킨 상태에서 기계로 인위적으로 호흡을 하도록 하는데, 고령자의 경우 노화 등으로 폐나 근육의 기능이 떨어져 있어 마취 후 심폐기능 저하 등 후유증이 생길 위험이 크다.

단일통로 협착증 내시경 시술, 정상 조직 손상 줄여



이미지
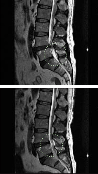
4·5번 요추에 협착증이 생긴 모습(위)과 단일통로 협착증 내시경 시술 후 협착이 있던 부위 신경관이 확장된 모습(아래)./다나은신경외과 제공
최근에는 고령자들의 척추관 협착증 치료 효과와 안전성을 높이기 위한 다양한 치료법이 개발되고 있다. 그중 하나가 '단일통로 협착증 내시경 시술'이다. 단일통로 협착증 내시경 시술은 말 그대로 피부에 하나의 구멍을 뚫은 뒤, 해당 부위에 내시경 기구를 넣어 신경을 누르고 있는 부위를 제거하는 시술이다. 내시경 기구 안에는 총 3개의 작은 통로가 있는데, 각각의 통로에는 환부를 볼 수 있는 내시경 렌즈와 시술 과정에서 발생한 인대 조각 등을 체외로 배출하도록 하는 생리식염수, 인대 제거를 위한 기구가 들어있다.

정택근 원장은 "기존에는 환부까지 두 개 이상의 통로를 뚫은 뒤 내시경과 시술용 기구를 따로 삽입해 사용했는데, 이 과정에서 병변 부위 주변의 피하조직이나 근막, 근육 등 정상 조직을 손상시키는 경우가 많았다"며 "단일통로 협착증 내시경 시술은 시술 부위 피부를 0.5㎝가량만 절개하고, 사선 모양으로 만들어진 렌즈를 이용해 하나의 통로를 통해 병변 부위 좌우를 한 번에 치료할 수 있어 정상 조직 손상이 적다"고 말했다.

실제로 지난해 6월 제주도에서 열린 '제5회 세계최소침습척추수술학회'에서 정택근 원장이 발표한 자료에 따르면, 단일통로 협착증 내시경 시술을 시행한 결과 환자 만족도가 98%에 달했다.

정택근 원장은 "단일통로 협착증 내시경 시술은 수면마취를 한 상태로 진행하기 때문에 고령 환자들의 부담이 적다"며 "내시경 기구를 이용해 시술 도중 사용한 식염수를 바로 체외로 배출하기 때문에 감염 위험이 높은 당뇨병 환자나 투석 환자도 안전하게 시술받을 수 있다"고 말했다. 척추 양쪽의 병변을 제거하는 데 대략 한 시간 정도 소요되며, 시술 후 2~3시간 후부터는 보조기를 착용하고 보행이 가능하다. 시술 2~3일 후에는 퇴원 후 정상적인 생활이 가능하다. 다만, 4주간은 허리를 무리하게 사용하는 자세는 피해야 한다.

허리 근육 기르는 운동 꾸준히 해야

척추관 협착증은 초기에 제대로 치료를 받는 것도 중요하지만, 협착증이 생기지 않도록 예방하는 것이 무엇보다 중요하다. 정택근 원장은 "노화로 뼈나 근육이 약해지면서 조금씩 협착이 발생하는 것은 자연스러운 현상"이라며 "50대부터 척추를 둘러싼 근육의 힘을 길러주면 협착이 병적인 상태까지 진행되는 것을 막을 수 있다"고 말했다. 척추 근육을 기르는 데 가장 도움이 되는 것은 매일 30분씩 허리에 힘을 준 채 걷는 것이다. 또한, 허리 근육을 기르는 데 도움이 되는 운동을 틈틈이 하는 것도 좋다. 허리 근육을 기르기 위해서는 바닥에 엎드린 상태에서 팔을 가슴 옆에 둔 채 팔로 상체를 들어올리는 '허리 올리기 운동'과 벽을 바라보고 선 채 양 팔을 가슴 옆에 두고 벽을 밀어내는 '벽 밀기 운동'을 매일 10분씩 하는 것이 도움이 된다.



다나은신경외과는

'단일통로 내시경 시술' 국내외 학회 성과 발표


다나은신경외과는 지난 20년간 척추관 협착증에 대한 최소침습 내시경 시술을 연구한 정택근 원장이 세운 병원이다. 정택근 원장은 지금까지 5000례에 달하는 척추관 협착증 최소침습 내시경 시술을 시행했다.

특히 최근에는 새롭게 개발한 척추 협착증 치료법인 ‘단일통로 협착증 내시경 시술’로 주목을 받고 있다. 단일통로 협착증 내시경 시술은 한 개의 단일통로를 통해 내시경으로 협착이 일어난 부위를 치료하는 시술법이다. 정택근 원장은 지난해 제주도에서 열린 ‘제5회 세계최소침습 척추수술학회’에서 단일통로 협착증 내시경 시술을 받은 환자의 사례를 발표했고, 올해 1월에는 미국 시카고에서 열린 국제최소침습척추수술학회에 사례 발표 연자로 초청받았다. 다나은신경외과는 MRI를 비롯한 첨단 장비를 갖추고 있으며, 정형외과와 영상의학과 의료진이 있어 환자의 전반적인 건강 상태를 협진해 치료하는 ‘원스톱 의료서비스’가 가능하다.