음식물 낀 것처럼 치아 사이가 까맣게 보이세요?

치아 교정 중인 직장인 이모씨(33)는 얼마 전 심각한 고민에 빠졌다. 시간이 지날수록 앞니 치아 사이에 까만 참깨가 낀 것처럼 곳곳에 틈이 생겨버렸기 때문이다. 일명 ‘블랙트라이앵글’이라 불리는 이 틈새 때문에 웃는 것도, 칫솔질을 하는 것도 여간 신경 쓰이는 게 아니다.

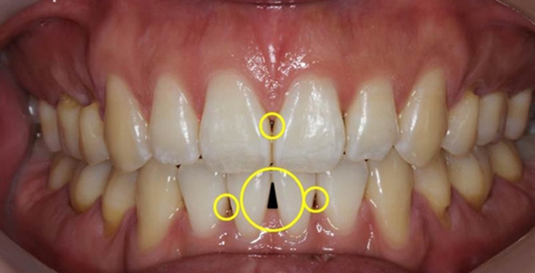
앞니는 정면에서 보았을 때 정사각형이 아닌 잇몸 쪽이 뾰족한 오각형 모양에 가깝다. 따라서 가까이 붙어있는 두 치아의 하방에는 공간이 생길 수밖에 없는데, 보통 이 공간은 ‘치간 유두’라 하여 잇몸으로 메워져 있지만 사이에 잇몸 연조직이 없는 경우에는 비어있는 부위가 드러나게 된다. 이러한 부위는 하얀 치아, 선홍빛 잇몸과 대비돼 검은색 삼각형 모양이므로 ‘블랙트라이앵글(Black triangle)’이라 불린다.

 




이미지
치아 사이가 음식물이 낀 것처럼 까맣게 보일 정도로 벌어졌다면 치주염 등을 의심해봐야 한다/사진=사과나무치과병원

교정 중에도 쉽게 나타나는 ‘블랙트라이앵글’은 치아가 겹쳐져 있다가 교정 후 가지런히 펴지면서 공간이 발생하는 경우가 많다. 이곳은 치아가 맹출하는 과정과 더불어 잇몸으로 채워져 있어야 하는 공간이지만 치아가 겹쳐 있어서 처음부터 틈이 없어 그에 맞게 잇몸이 차오르지 않았던 것이다.

따라서 ‘블랙트라이앵글’은 교정치료의 부작용으로 잇몸이 없어진 것이 아니라 치열이 재구성되면서 잇몸의 빈 공간이 보이게 된 현상이다. 이는 특히 성인에게 잘 나타나는 편인데, 성장기 아동의 경우 비어있던 공간이라 하더라도 잇몸이 차오르며 블랙 트라이앵글이 없어지지만 성인은 그렇지 못한 경우가 많기 때문이다. 일산사과나무치과병원 교정과 김동현 원장은 “교정치료 전 진단 과정에서 잇몸의 건강 상태가 나쁜 경우 블랙트라이앵글이 잇몸병으로 인해 더 크게 나타나는 경우가 있기 때문에 교정 전 잇몸 상태에 따라 잇몸을 건강하게 치료해주는 것이 좋다”며 “치아가 틀어진 정도에 따라 블랙트라이앵글 발생은 어느 정도 예측이 가능하고, 크게 형성된 경우 치아 사이를 다듬어 다시 그 틈을 좁혀 공간을 줄여주거나 잇몸 성형으로 개선하는 것이 가능하다”라고 말했다.

교정 치료가 아니어도 블랙트라이앵글은 잇몸 건강에 이상이 생겨 잇몸의 양이 적어지는 것으로 발생할 수 있고, 노화에 따라서도 누구에게나 생겨날 수 있다. 약간의 블랙트라이앵글은 꼼꼼한 칫솔질과 잇몸치료 등으로 관리를 잘하면 되지만, 치아가 삼각형으로 길어져 보이면서 뿌리가 드러나고, 블랙트라이앵글이 두드러지는 경우는 미관상의 문제를 넘어 치주 질환이 진행되고 있다는 신호일 수 있기 때문에 가볍게 여겨서는 안 된다.

치주 질환은 치태나 치석에 의해 염증이 발생하는 것을 말하는데, 치조골 잇몸을 손상시키는 원인으로 꼽힌다. 치주조직이 손상되면 잇몸이 퇴축되면서 블랙트라이앵글이 만들어지는데 치아가 길어 보이는 것도 잇몸이 뿌리 쪽으로 올라가면서 치아의 치경부가 드러났기 때문이다. 이 경우 가벼운 양치질에도 잇몸에서 피가 나거나 잇몸이 시리고 붓는 등 증상이 나타날 수 있다.

특히 흡연은 블랙트라이앵글이 생기는 가장 큰 원인으로 꼽히는데 흡연은 잇몸 건강을 악화시켜 치아를 지지하지 못하게 한다. 또한 치아를 깨끗하게 닦는다며 너무 힘을 주어 뿌리 부위를 세게 문지르는 잘못된 습관도 잇몸을 상하게 만드는 요인이다. 충치 치료를 한 후 치아를 씌운 크라운이나 보철물이 치아와 맞지 않거나, 시간이 지나 보철물과 치아 사이의 빈틈이 생기면 그 사이에서 세균이 번식해 잇몸이 손상될 수 있어 주의해야 한다.

김 원장은 “치석은 아래 앞니의 안쪽에 붙어있는 경우가 많은데, 치석이 자리잡은 공간은 점점 커지면서 그 부위의 잇몸을 밀어내버리고 서서히 없어진 잇몸은 치석을 제거해도 원래 모양대로 다시 차오르는 경우가 드물다”며 “심미적인 이유 때문이 아니라도 블랙트라이앵글이 크게 생긴 치아 사이는 음식물이 쉽게 끼게 되고, 치아의 뿌리가 드러나게 되면 이 부위는 찬물이나 짠 음식에 시리거나 충치에도 매우 약해지게 되므로 블랙트라이앵글이 보이기 시작한다면 치과에서 원인을 찾아 치료하는 것이 중요하다”고 조언했다.

 




김하윤 헬스조선 기자