퇴행성관절염 치료

지방조직서 줄기세포 추출
닳고 손상된 연골 다시 자라
65세 이상 고령 환자도 효과
수술 두렵다면 고려해볼 만

줄기세포 치료기술이 발달하면서 예전에는 상상 속에서나 가능했던 일들이 점차 현실화되고 있다. 10여 년 전만해도 줄기세포 치료는 동물을 대상으로 일부 성공했을 뿐 사람에게 쓰기에는 위험부담이 크고 효과도 불분명했다. 최근에는 줄기세포를 이용한 몇몇 치료법은 이미 상용화됐고 다양한 질병에 이용하려는 연구도 활발하다.




이미지
퇴행성관절염이 생긴 무릎 관절에 환자에게서 추출한 지방줄기세포를 주입하면 손상된 연골이 재생된다. 보건복지부가 지정한 관절전문병원인 연세사랑병원의 연구원이 환자의 지방조직에서 추출한 줄기세포 상태를 살펴보고 있다. / 신지호 헬스조선 기자
◇선진국과 직접 경쟁 가능한 의술

정부도 줄기세포연구 지원에 적극적이다. 2008년부터 5년간 정부가 줄기세포연구에 지원한 예산이 3000억원 가까이 된다. 지금도 30여 건의 줄기세포관련 임상시험이 진행 중이다. 의학계에서는 줄기세포연구 분야가 선진국과 기술차이가 없는 거의 유일한 분야로 보고 있다. 전세계적으로 개발된 줄기세포치료제 4개 중 3개가 우리나라 기술로 만들어졌다.

모발이식, 가슴확대, 주름제거 등 미용 목적뿐 아니라 퇴행성관절염 같은 중증질환에도 줄기세포가 쓰인다. 인공관절수술밖에 해결책이 없었던 중기 이상 퇴행성관절염 환자들의 선택의 폭이 넓어진 것은 물론 고령, 만성질환 때문에 수술을 주저했던 환자들도 얼마든지 통증 없이 걸을 수 있게 됐다.

◇고령 관절염 환자도 지방줄기세포 효과

퇴행성관절염 초기에는 약을 먹으면서 살을 빼고 무리한 움직임을 삼가면 일상생활이 가능하다. 연골이 절반 정도 남았을 때에는 연골에 미세한 구멍을 뚫어 새 연골이 자라게 하거나 연골조직을 이식한다. 연골이 50%도 안 남았을 때에는 인공관절수술을 생각해 봐야 한다.

인공관절은 수명이 20년 정도라 나이가 젊은 환자는 재수술의 부담이 있다. 거기에 당뇨병이나 고혈압 등 만성질환까지 있으면 2시간 정도의 수술을 견디기 어렵고 수술 후 합병증의 위험도 크다. 연세사랑병원 고용곤 원장은 "70세 이상의 고령 환자들에게 인공관절수술 얘기를 하면 수술을 꺼리는 사람들이 많다"고 말했다.




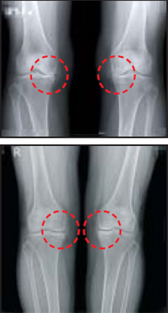
이미지
줄기세포 치료 전 환자의 무릎 엑스레이 사진(위)과 수술 1년 후 엑스레이 사진. 수술 전 맞닿아 있던 무릎뼈가 연골이 자라면서 사이가 떨어졌다. / 연세사랑병원 제공
자가줄기세포 치료는 환자의 배·엉덩이·허벅지 같은 지방조직이나 골수에서 추출한 줄기세포를 손상된 관절에 이식해서, 줄기세포가 연골로 자라게 한다. 골수에서 줄기세포를 추출하는 자가골수 줄기세포치료법은 2012년 1월에 우리나라에서 신의료기술로 인정받은 후 많은 관절병원에서 이 치료법을 도입했다. 이 치료법은 15세 이상 50세 이하의 환자, 외상이나 박리성 골연골염으로 인한 연골손상, 연골손상범위가 2~10㎝ 등 제한적인 상황에서 쓸 수 있다.

지방조직에서 줄기세포를 추출해 이식하는 자가지방 줄기세포치료도 연구가 활발하다. 2012년 지방에서 뽑은 줄기세포가 관절염 치료에 효과가 있다는 연구결과가 보건복지부 지정 관절전문병원인 연세사랑병원에서 세계 최초로 발표됐다. 최근에는 지방조직에서 추출한 줄기세포가 65세 이상 노인들에게도 효과적이라는 연구결과도 이 병원에서 나왔다. 인공관절수술을 받아야 하지만 수술 두려움으로 수술을 거부했던 65세 이상 환자 30명(평균 나이 70.3세)에게 환자의 지방조직에서 추출한 줄기세포를 이식했더니 이들의 통증수치가 수술 전 4.7(5점 만점)에서 수술 후 1.7로 줄었으며 23명의 환자가 매우 만족한다는 내용이다. 시술 1년 후 관절내시경 검사에서 환자의 62%가 손상된 연골이 회복됐고 2년 동안 연골손상이 더 이상 진행되지 않은 환자는 87.5%였다. 이 연구결과는 지난해 12월 유럽 슬관절및스포츠학회 공식학술지에 게재됐다. 고용곤 원장은 "수술 이외에 다른 방법이 없지만 수술 자체를 부담스러워하던 고령 환자들도 자가지방 줄기세포를 이용한 치료가 효과적인 대안이 될 수 있다는 뜻"이라고 말했다.

◇해외 병원서 한국 찾아와 배워가

우리나라의 지방줄기세포 이식 기술은 외국에서도 많은 관심을 보이고 있다. 연세사랑병원 연구팀은 지난해 12월 이탈리아에서 열린 국제연골재생학회 학술대회에 초청돼 연구결과를 발표했다. 이외에도 미국재생의학학회, 줄기세포학회 등에서 초청 강연이 예정돼 있다. 이탈리아 볼로냐대, 말레이시아 쿠일병원, 몽골 국립병원 등에서 지방줄기세포 이식술을 배우기 위해 이 병원을 찾았다. 인도네시아 실로암병원은 이 병원에 소속 의료진 교육을 맡겼다.




강경훈 헬스조선 기자