이미지
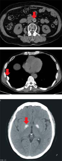
석회질은 CT 사진에서 하얀 돌처럼 보인다. 사진 위부터 복부대동맥·폐·뇌에 생긴 석회질. /중앙대병원·아주대병원 제공
가정주부 장모(52·서울 금천구)씨는 최근 건강검진에서 갑상선 결절에 석회질이 있다는 진단을 받고, 암을 의심해 큰 병원으로 갔다. 의사는 "일단 칼슘이 쌓여 생긴 단순 석회질로 보이므로 안심하라"며 "석달 뒤에 다시 봐서 커졌으면 종양일 수 있으니, 그 때 조직검사하면 된다"고 말했다. 서울아산병원 유방내분비외과 손병호 교수는 "대부분의 체내 석회질은 별 문제를 일으키지 않으므로 치료할 필요가 없지만, 암이 되는 경우도 있으므로 진단은 정확히 받아야 한다"고 말했다.

암일 수 있는 유방·갑상선·뇌 석회질= 중앙대병원 내분비내과 안지현 교수는 "석회질이 있는 갑상선결절은 암 가능성이 다른 갑상선결절보다 4~9배 높고, 유방 석회질의 10%는 유방암"이라고 말했다. 아주대병원 신경외과 조진모 교수는 "뇌의 석회질은 대부분 노화 현상이지만, 5% 정도는 암으로 발전하기도 한다"고 말했다. 갑상선과 유방 석회질은 처음 발견한 뒤 3~6개월 후, 뇌 석회질은 1년 후에 다시 검사해서 크기가 자라거나 개수가 많아지면 암을 의심하고 조직검사를 한다.

동맥경화 신호인 혈관 석회질=혈관 근육층에 칼슘이 쌓이면 탄력이 있어야 할 혈관이 딱딱해지면서 석회화한다. 고지혈증이나 동맥경화로 생기는 혈관 속 염증 물질이 칼슘과 결합하면서 발생한다. 혈관 자체의 석회화는 지질이나 혈전이 혈관에 쌓이는 단순 동맥경화와 달리, 혈관 질환이 오래 됐다는 신호다.

통증 일으키는 관절·인대 석회질=엉덩이와 어깨 인대, 힘줄 등에 생긴 석회질은 '석회화건염', 무릎 관절강에 생긴 것은 '가성통풍'이다. 관절은 움직이는 부위이기 때문에, 석회화하면 통증이 심하다. 강남성심병원 정형외과 노규철 교수는 "노화와 반복된 힘줄 손상, 혈액순환장애 등으로 칼슘이 쌓이면서 석회화건염이나 가성통풍이 생긴다"고 말했다. 초기에는 소염진통제와 스테로이드 주사로 통증을 조절하고, 심하면 관절내시경이나 체외충격파로 석회질을 제거한다.

질병 흔적인 간·폐 석회질=간염·폐결핵 등을 앓은 사람은 간과 폐에 석회질이 생길 수 있다. 염증 치료 과정에서 칼슘이 침착돼 생기는 것으로 추정한다. 건강상 아무 문제를 가져오지 않는다.

칼슘 섭취와 석회화는 무관

체내 석회질은 외상·노화 등으로 생긴 염증 물질에 칼슘이 결합해서 생기며, 칼슘을 많이 먹는다고 발생하지는 않는다. 안 교수는 "체내 칼슘 균형은 신장과 부갑상선 호르몬이 맞춰주므로, 체내 석회질이 있어도 칼슘 음식을 굳이 삼갈 필요 없다"고 말했다.




김현정 헬스조선 기자