원인과 실태=우울증은 뇌에서 세로토닌·도파민·노르에피네프린의 분비량이 줄어드는 것이 직접적인 발병 원인이다. 이 외에 스트레스, 부정적인 성격, 여성호르몬의 과다 분비, 일조량 등도 원인이 된다. 집안 내력도 어느 정도 있으나 반드시 유전된다고 할 수는 없다. 이처럼 우울증은 어떤 상황에서만 발병한다고 똑 부러지게 이야기할 수 없기 때문에, 거꾸로 누구나 조심해야 한다.

정신과 전문의들은 매년 한국인의 약 6%인 300만명이 업무 학업 가사 등에 지장을 받을 정도의 우울증을 경험한다고 추산했다. 그러나 지난해 실제 우울증으로 병원 진료를 받은 사람은 51만명으로 우울증을 겪는 사람의 17%에 불과했다.(건강보험심사평가원 자료)

진단 기준=공보금 부산백병원 신경정신과 교수는 "2주일 내내 하루종일 기분이 가라앉아 있고, 평소 하던 일의 양을 똑같은 조건에서 반밖에 못한다면 우울증 가능성이 높다"고 말했다. 한편 주말마다 골프 낚시 등산 등을 열심히 다니다가 갑자기 집에서 TV만 보는 사람, 자다가 이유 없이 깨서 30분 이상 뒤척이는 사람 등은 우울증 가능성이 있다. 스트레스가 폭발해도 휴가원을 내고 회사에 안 오면 우울증이 아니지만, 무단 결근하고 집에만 틀어박혀 있으면 우울증이다. 우울해 하다가도 재미있는 TV 프로그램이나 책 등을 보고 기분 전환이 되면 우울증이 아니지만 그때 뿐이고 다시 기분이 가라앉으면 병적 우울증이다.




이미지
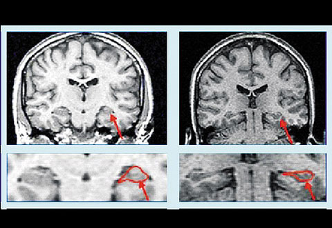
우울증이 생긴 뇌(사진 오른쪽)는 정상인의 뇌보다 해마(기억이나 공간 지각을 담당하는 부위)부위가 위축된다. / 서울아산병원 제공

한국인 우울증의 특징=서양인은 울적해 하고 의기소침하는 등의 전형적인 우울 증상을 많이 보이지만, 한국인은 분노나 짜증이 가장 흔한 증상으로 전체의 약 50%를 차지한다. 나머지 30%는 초조나 불안감이며, 전형적 우울 증상은 20% 정도에 불과하다.

동양이든 서양이든 소아 우울증 환자는 '우울'보다 '짜증과 화를 내는 것'이 주 증상이다. 정서적으로 미성숙한 아동은 자신의 정신적 문제를 짜증으로 밖에 표현하지 못하기 때문이다. 한국인 우울증 환자가 분노와 짜증으로 우울증을 표현하는 것도 한국 사회가 정서적으로 미성숙 되어 있기 때문이라는 것이 전문의들의 설명이다. 우울증과 관련된 우리나라 고유 질병인 '화병(火病)'을 미국정신과협회에서 '문화결함증후군'의 일종으로 분류하는 것도 이런 맥락이다.

 




김태열 헬스조선 기자