"기술·경험 풍부한 치과와 상의하세요"

임플란트의 소재는 티타늄이다. 최근에는 티타늄 표면의 거칠기를 다양한 방법으로 변화시키는 쪽으로 소재 발전이 이뤄지고 있다. 이를 통해서 더 빠른 시간 안에 임플란트 치아가 환자의 뼈와 기계적, 화학적으로 결합하는 결과를 얻고 있다. 심미적인 부분의 개선도 계속 이뤄지고 있다. 근래 사기(砂器)로 임플란트를 만드는 연구가 진행되고 있는데, 금속성을 띠지 않는 백색 계통 재료를 이용하여 큰 호응을 얻고 있다.

요즘 가장 많이 쓰는 임플란트는 스크류형인데, 스크류의 모양에 따라 분리형과 일체형으로 나뉜다.

분리형 임플란트는 예전부터 사용하는 기본적인 임플란트 시스템으로, 많은 형태의 임플란트 제품 중 시술 실패율이 가장 낮다. 임플란트를 뼈에 심고 필요한 기간 동안 잇몸 속에서 뼈와 결합이 이루어지도록 3~6개월 정도 기다린다. 임플란트와 뼈가 결합된 것이 확인되면 지대주라는 기둥을 연결하기 위해 잇몸에 조그만 구멍을 내서 길을 만드는 2차 수술이 필요하다. 분리형의 단점은 위의 설명처럼 수술을 두 차례 해야 한다는 것이다.




이미지
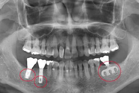
사진 왼쪽부터 현재 쓰는 임플란트, 15~20년전 쓰던 임플란트, 25~30년 전 쓰던 임플란트 치아를 현재 임플란트 시술을 받고 있는 환자의 엑스선 사진에 합성했다. / 에스플란트치과병원 제공

일체형 임플란트는 임플란트 본체와 나중에 연결하는 지대주가 하나로 연결돼 만들어진다. 분리형과 달리 추가 수술이 필요 없고, 임시 치아를 단기간 내에 연결할 수 있는 장점이 있다. 골질이 충분히 좋은 젊은 환자에게 더 적합하다. 그러나 아직 임플란트와 뼈가 충분히 결합되지 않은 상태에서 외부의 힘이 무리하게 가해지면 파손될 가능성이 있으므로 이식 뒤 상당 기간 주의해야 한다.

현재 '임플란트의 춘추전국시대'라고 할 만큼 여러 회사의 제품이 경쟁하고 있다. 임플란트 치아의 가격도 천차만별이다. 환자는 가격만 보고 결정하지 말고, 임플란트 전문 치과의사와 상의해 자신의 치아와 뼈의 상태에 따라 자신에게 가장 적절한 인공 치아를 선택해 시술받아야 한다.

빙산은 물 위에 떠 있는 부분보다 물속에 잠겨 있는 부분이 더 크다. 환자에게 자신의 치아처럼 자연스럽고 오래 쓸 수 있는 임플란트를 완벽하게 심어주려면, 시술하는 치과의사는 오랜 시간을 들여 수면 아래 숨어있는 빙산처럼 많은 데이터를 만들고 분석해서 환자에게 가장 적합한 임플란트 제품을 선정하고 시술법을 결정해야 한다. 예를 들어, 필자는 치아 모두를 상실한 전악 임플란트 시술을 많이 하고 있다.이때 분리형 임플란트 중에 임플란트 주변 골 상실량이 적으며, 사용 중에 연결부 나사의 풀림이 거의 발생하지 않도록 설계된 제품을 주로 사용한다. 한 번에 임플란트를 여러 개 심을 때는 시술 시 허용되는 각도의 오차가 매우 작다.

이렇듯 임플란트 시술에는 환자와 의료진 모두 고려할 점이 매우 많다. 따라서 무조건 저렴한 가격만 찾기보다 과학적 기술과 오랜 경험을 바탕으로 정밀한 시술을 할 수 있는 치과병원을 선택해, 의료진과 충분한 의견을 교환하고 시술받는 것이 바람직하다.




노현기 에스플란트치과병원 원장